Key Concepts
Irritable Bowel Syndrome
-
•
Irritable bowel syndrome (IBS) is a chronic disorder that includes both abdominal pain and bloating and is either diarrhea-predominant, constipation-predominant, or a mixed picture.
-
•
Treatment of IBS is challenging and commonly involves a combination of diet, pharmacological, and behavioral therapy, along with reassurance.
Diverticular Disease
-
•
Diverticular disease can consist of diverticulosis, which can cause bleeding but is often asymptomatic, or inflammation of the involved diverticula, termed diverticulitis.
-
•
Uncomplicated diverticulitis can typically be managed on an outpatient basis, with oral antibiotics if indicated. Complicated diverticulitis may require admission and intravenous antibiotics, often with surgery consultation.
Large Bowel Obstruction
-
•
The most common cause of large bowel obstruction in the United States is colorectal malignancy. Treatment consists of endoscopic placement of an intraluminal stent with surgical resection at a later date.
-
•
Acute colonic pseudo-obstruction commonly occurs in hospitalized elders. Treatment involves medical management, with endoscopic decompression if refractory.
Volvulus
-
•
Sigmoid volvulus often affects elders or those that are in long-term care facilities and can usually be treated by endoscopic decompression.
-
•
Cecal volvulus often affects younger patients and requires surgical management.
Intussusception
-
•
Intussusception is the second most common cause of an acute abdomen in the pediatric population after appendicitis, is usually idiopathic, and may be successfully treated with hydrostatic or pneumatic reduction.
-
•
In adults, intussusception is often associated with neoplasm or malignancy, typically requiring surgical management.
Inflammatory Bowel Disease
-
•
Inflammatory bowel disease (IBD) is characterized by chronic, relapsing, and remitting inflammatory disease. Crohn disease’s (CD) transmural inflammation can affect any area of the gastrointestinal (GI) tract, whereas ulcerative colitis (UC) inflammation is more superficial and is limited to the colon and rectum.
-
•
Effective management of IBD requires prompt recognition and treatment of acute relapses, and appropriate choice and monitoring of medications for maintenance of remission. Most patients with CD respond to ileal-release budesonide or systemic steroids; aminosalicylates are less effective. In contrast, aminosalicylates are first-line therapies for UC, with steroids reserved for use only when necessary. Refractory exacerbations for both CD and UC may be treated with immunomodulators or biologic agents.
-
•
Common complications of IBD include the formation of fistulae, strictures, or abscesses; less common yet more severe complications include fulminant colitis, toxic megacolon, or intestinal perforation.
-
•
Chronic inflammation can have extraintestinal effects. Thromboembolic events affecting the venous and arterial systems in IBD patients may be underdiagnosed.
Colonic Ischemia
-
•
Colonic ischemia (CI) typically presents in elders and is the most common ischemia disorder of the GI tract. Local hypoperfusion and reperfusion injury cause crampy abdominal pain over the segment of the colon involved, followed by a short course of bloody diarrhea.
-
•
Although abdominal computed tomography (CT) is not diagnostic for CI, it is useful in supporting the clinical suspicion, assessing the extent of colon involvement, diagnosing complications, and excluding other disorders. Colonoscopy within 48 hours of symptom onset is the most accurate diagnostic study.
-
•
CI is usually self-limited, and most patients experience resolution of symptoms with supportive medical management with bowel rest, hydration, and pain management. Those with more severe disease, especially those with right-sided colonic involvement, may develop peritoneal signs from transmural ischemia requiring antimicrobials and possible surgical intervention.
Stercoral Colitis
-
•
Stercoral colitis is a rare complication of chronic constipation that is typically diagnosed on CT and is associated with high mortality. The condition primarily affects the elderly, individuals living in nursing homes, young patients with neurological impairment, and those with chronic opioid use.
-
•
Fecal impaction leads to increased intraluminal and colonic wall pressure, which then causes inflammatory changes and pressure wall necrosis of the colon. It can be complicated by CI, stercoral ulcer formation, and subsequent perforation.
Radiation Proctocolitis
-
•
Radiation proctocolitis occurs commonly in those that have received pelvic radiation. Acute radiation proctocolitis occurs during the course of treatment and is often self-limited. Chronic radiation proctocolitis can occur months after completion of treatment. Management typically varies based on severity and can range from stool softeners to hyperbaric therapy.
Neutropenic Enterocolitis
-
•
Neutropenic enterocolitis, or typhlitis, occurs in those that have hematologic malignancies, are undergoing chemotherapeutic regimens, or are immunosuppressed for other reasons. It is characterized by neutropenia, fever, and abdominal pain. Treatment involves broad-spectrum antibiotics, bowel rest, and interventions to stimulate leukocyte count recovery.
Irritable Bowel Syndrome
Foundations
Background
IBS is a chronic condition that affects approximately 7% to 21% of the general population. It is a disabling disease that can lead to a significant reduction in the quality of life. It is more commonly found in women and is characterized by abdominal pain, bloating, and altered bowel habits. IBS was previously considered a diagnosis of exclusion when no specific anatomical or biochemical abnormalities were found on workup, but new research shows that specific pathophysiological findings are associated with IBS.
There are numerous comorbidities associated with IBS, including functional pain syndromes, psychiatric disorders, as well as other intestinal disorders. This can result in frequent relapses and varying symptoms between relapses. These variable symptoms make both diagnosis and treatment of IBS challenging in the emergency department (ED). This is compounded by the fact that lab and imaging findings are often unrevealing. Patients tend to be discharged from the ED without a specific diagnosis.
Anatomy, Physiology, and Pathophysiology
The pathophysiology of IBS remains unclear, though there are many factors that are thought to contribute to its development. These include intestinal permeability, immune function, alterations in the gut microbiome, motility, and psychosocial status. For example, increased gas production by bacteria in an altered microbiome may result in intestinal reflex responses that create bowel distention. Other theories suggest the possibility of a brain-gut association in certain patients, especially in those with an underlying psychiatric disorder; there is also a potential converse gut-brain association, evidenced by the effect of probiotics in improving symptoms for some patients.
Clinical Features
The diagnosis of IBS is made with a detailed history as well as the exclusion of certain disorders. The Rome IV criteria are generally used to confirm the diagnosis of IBS ( Box 81.1 ). These criteria account for the frequency of episodes, alterations in bowel habits, and the lack of any traditional “warning signs” such as the onset of symptoms over the age of 50 with the lack of age-appropriate colorectal cancer screening, gastrointestinal bleeding, or family history of colorectal cancer.
BOX 81.1
Rome IV Criteria for Irritable Bowel Syndrome
From Lacy BE, Mearin F, Chang L, et al. Bowel disorders. Gastroenterology . 2016;150:1393–1407.
Patient has recurrent abdominal pain (>1 day/week in the previous 3 months), with an onset >6 months before diagnosis.
Abdominal pain is associated with at least two of the following three symptoms:
-
Pain related to defecation
-
Change in frequency of stool
-
Change in form (appearance) of stool
Patient has none of the following warning signs:
-
Age >50 years, no previous colon cancer screening, and presence of symptoms
-
Recent change in bowel habits
-
Evidence of overt gastrointestinal bleeding
-
Nocturnal pain or passage of stools
-
Unintentional weight loss
-
Family history of colorectal cancer or inflammatory bowel disease
-
Palpable abdominal mass or lymphadenopathy
-
Evidence of iron-deficiency anemia on blood testing
-
Positive test for fecal occult blood
There are four distinct subtypes of IBS, and identification is important in determining treatment options. The subtypes include IBS with diarrhea (IBS-D), IBS with constipation (IBS-C), IBS with mixed symptoms of constipation and diarrhea (IBS-M), and unsubtyped-IBS. There is also a postinfectious IBS that can cause persistent symptoms in approximately 10% to 30% of patients with gastroenteritis.
Common symptoms include recurrent abdominal pain, abdominal bloating, and changes in bowel habits. The following symptoms would be concerning for more sinister pathology: age at onset greater than 50 years, no previous colon cancer screening, evidence of gastrointestinal bleeding, unintentional weight loss, or a positive fecal occult blood test, among others. Of note, it is unusual for IBS to be diagnosed for the first time in the ED, so attention should be paid to ensure more sinister diagnoses are considered, as they may warrant further evaluation.
Differential Diagnoses
The differential diagnosis for IBS depends on the particular subtype in question and can be rather broad ( Box 81.2 ). Other gastrointestinal disorders such as colitis, gastroenteritis, pancreatitis, hepatitis, or biliary pathology should be considered, along with possible urological or gynecological disorders, based on the clinical history.
BOX 81.2
Differential Diagnosis in Irritable Bowel Syndrome
IBS , Irritable bowel syndrome.
IBS With Constipation
-
Bowel obstruction
-
Malignancy
-
Adult-onset Hirschsprung disease
-
Rectocele
-
Paradoxical closure of the anus during defecation
IBS With Diarrhea
-
Bacterial or parasitic intestinal infection
-
Inflammatory bowel disease
-
Lactose intolerance
-
Malabsorption
-
Radiation proctocolitis
-
Celiac disease
IBS With Mixed Symptoms
-
Inflammatory bowel disease
-
Ureteral colic
-
Bowel obstruction
-
Diverticular disease
-
Gastroesophageal reflux of ulcer
-
Liver or pancreatic disease
-
Lead toxicity
-
Porphyria
Diagnostic Testing
There are no specific tests to assess for IBS in the ED setting. A complete blood count (CBC) may be performed to assess for anemia in patients where malignancy is on the differential. Fecal calprotectin is a test typically performed in an outpatient setting that may help differentiate IBS from IBD, as it may be increased in the latter.
Management
The management of IBS is largely based on the subtype. Typically, treatment involves a combination of diet, behavioral, and pharmacological therapies. Traditionally, small dietary changes such as increasing soluble fiber can improve IBS-C. Low-FODMAP (fermentable oligosaccharides, disaccharides, monosaccharides, and polyols) diets have been shown to improve abdominal pain and bloating associated with IBS. FODMAPs are a group of fermentable carbohydrates that can potentially aggravate symptoms. Fermentable oligosaccharides include wheat, rye, and certain legumes such as garlic and onions. Disaccharides are lactose-containing foods. Monosaccharides are found in some fruit such as mangoes and figs and also include honey and agave nectar. Certain fruits and vegetables such as blackberries and lychee contain polyols, as well as some low-calorie sweeteners that might be in sugar-free gum. Ondansetron (4 mg by mouth [PO] three times daily) and loperamide (4 mg PO as an initial dose, followed by 2 mg PO for subsequent doses, up to a maximum of 16 mg daily) may improve stool consistency for those with IBS-D. Probiotics have been associated with improvement in symptoms. Cognitive-behavioral therapy (CBT) and hypnotherapy may be useful. Evidence points toward using an individualized approach, with a focus on affirming the diagnosis of IBS, in order to help reduce symptoms. Unfortunately, management is typically not curative but may help improve quality of life.
Disposition
IBS is typically a non-emergent condition that can be managed on an outpatient basis. Emphasis should be placed on maintaining close follow-up in order to optimize therapy. Strict return precautions should be provided, and patients should be educated on monitoring for any of the warning symptoms that may point to a more concerning alternative diagnosis.
Diverticular Disease
Foundations
Background
Diverticular disease is one of the most common gastrointestinal diagnoses in the Western hemisphere, affecting 5% of patients younger than 40 years, and up to 60% of patients over the age of 80. There are multiple theories regarding the increasing incidence of diverticular disease including diet, obesity, and bacterial colonization. There was once thought to be a link between fiber intake and the development of diverticular disease, but that theory is now questioned.
Risk factors for diverticular disease include smoking, use of NSAIDs, physical inactivity, obesity, red meat, and a diet high in refined carbohydrates. Diverticular disease involves the development of false diverticula, which is the herniation of the inner mucosal and submucosal layers of the intestinal wall through the muscular layers. Diverticulosis refers to the presence of multiple diverticula. While the sigmoid colon is most often involved, interestingly, in the Japanese population, the right colon tends to be affected. The sigmoid colon is thought to be affected more commonly because of specific anatomic features including noncircumferential muscle layers, along with the location of insertion of the vasa recta (intestinal arteries) ( Box 81.3 ).
BOX 81.3
Factors That Contribute to the Development of Colonic Diverticula
From Meara MP, Alexander CM. Emergency presentations of diverticulitis. Surg. Clin. North Am. 2018;98:1025–1046.
Weakness of the Bowel Wall
-
Noncircumferential muscular layers
-
Insertion of the vasa recta
-
Localized ischemia
-
Connective tissue disorders
-
Ehlers-Danlos syndrome
High Intraluminal Pressure
-
Increased collagen crosslinking with ageê more distensible, more contractile bowelê segmentation
-
Obstruction of diverticula
-
Colonic stasis, chronic constipation
-
Low fiber intake
Other Associated Factors
-
Seasonal variation (summer months)
-
Smoking
-
Age
Obesity
-
Alcohol use
-
Immunocompromised state
-
Composition of intestinal flora
Anatomy, Physiology, and Pathophysiology
Diverticulosis refers to the asymptomatic condition of having multiple diverticula. Diverticulitis results from inflammation of the diverticula. Diverticulitis can be uncomplicated, which can most often be managed in the outpatient setting. Complicated diverticulitis can include abscess formation, fistula formation, strictures, along with perforation or acute peritonitis. The pathophysiology of this inflammation is thought to involve changes in gut motility as well as increases in intraluminal pressure in the colon, which can lead to localized perforation. If the perforation occurs into the abdominal cavity, this may result in peritonitis, whereas if the diverticulum is covered by mesentery, perforation can create a phlegmon or abscess.
Diverticulosis is also the cause of 40% of lower gastrointestinal hemorrhages. Severe hemorrhage occurs in 3% to 5% of all patients with diverticulosis. The bleeding is typically painless, as there is no associated inflammation.
Clinical Features
Diverticulosis
Most patients with diverticulosis are asymptomatic. It can result in bleeding, and it can also occasionally result in vague abdominal complaints, such as abdominal bloating. Diverticulosis progresses to acute diverticulitis in up to 25% of individuals and results in recurrent episodes of diverticulitis in up to 40%.
Diverticulitis
As the majority of patients develop diverticula in the sigmoid colon, diverticulitis tends to present with persistent left lower quadrant pain. Many patients will present with persistent pain over 24 hours, possibly with a low-grade fever. Other associated symptoms may include nausea, vomiting, or alterations in bowel movements. Physical examination may reveal tenderness in the left lower quadrant and possibly abdominal distention. Patients with more complicated cases may present with high fever or other vital sign abnormalities concerning sepsis.
Patients that are predisposed to developing diverticula in the right colon will present with right lower quadrant abdominal pain and tenderness on examination, which may be difficult to distinguish from appendicitis. There may also be referred pain to the suprapubic region. Additional findings suggest various complications—diffuse tenderness with rebound or guarding may be associated with gross perforation or abscess rupture; dysuria can be present with a colovesical fistula; a palpable mass may be associated with localized abscess formation; vomiting with abdominal distention may suggest proximal obstruction; and feculent vaginal discharge may suggest a colovaginal fistula. Almost any organ adjacent to the colon can be involved in the inflammatory process. Elders and immunocompromised patients may present more subtly despite the potential for having an even more severe disease. Perforation is seen more frequently in this population and is associated with a high mortality rate.
Differential Diagnoses
Other diagnoses to consider include colitis (either inflammatory or ischemic), ureteral stones, inguinal hernia, or pelvic or ovarian pathology, including an ectopic pregnancy or pelvic inflammatory disease. Appendicitis should be considered when symptoms are predominantly right-sided. Diffuse abdominal pain and tenderness should prompt an evaluation for other causes of peritonitis. An underlying colonic malignancy should be considered, but it is typically safe to wait until the resolution of the acute presentation before further investigation.
Diagnostic Testing
Patients with prior history of diverticulitis that present with similar symptoms may not need further testing. As long as symptoms are relatively mild, without concerning findings on physical examination, the patient may be started on empirical treatment for diverticulitis without the need for bloodwork or imaging. When other diagnoses are being considered, or the clinical severity of diverticulitis is concerning, further testing is indicated. A CBC is not necessary to make the diagnosis, but many patients will have varying degrees of leukocytosis. A urinalysis is suggested when there is concern for a colovesical fistula.
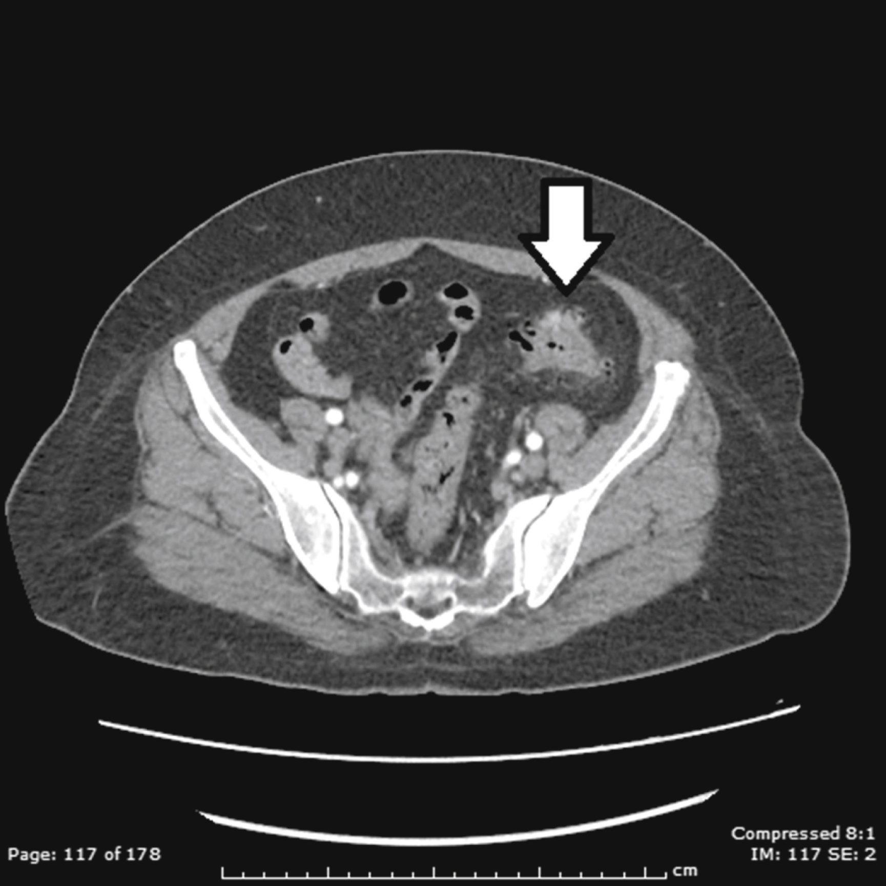
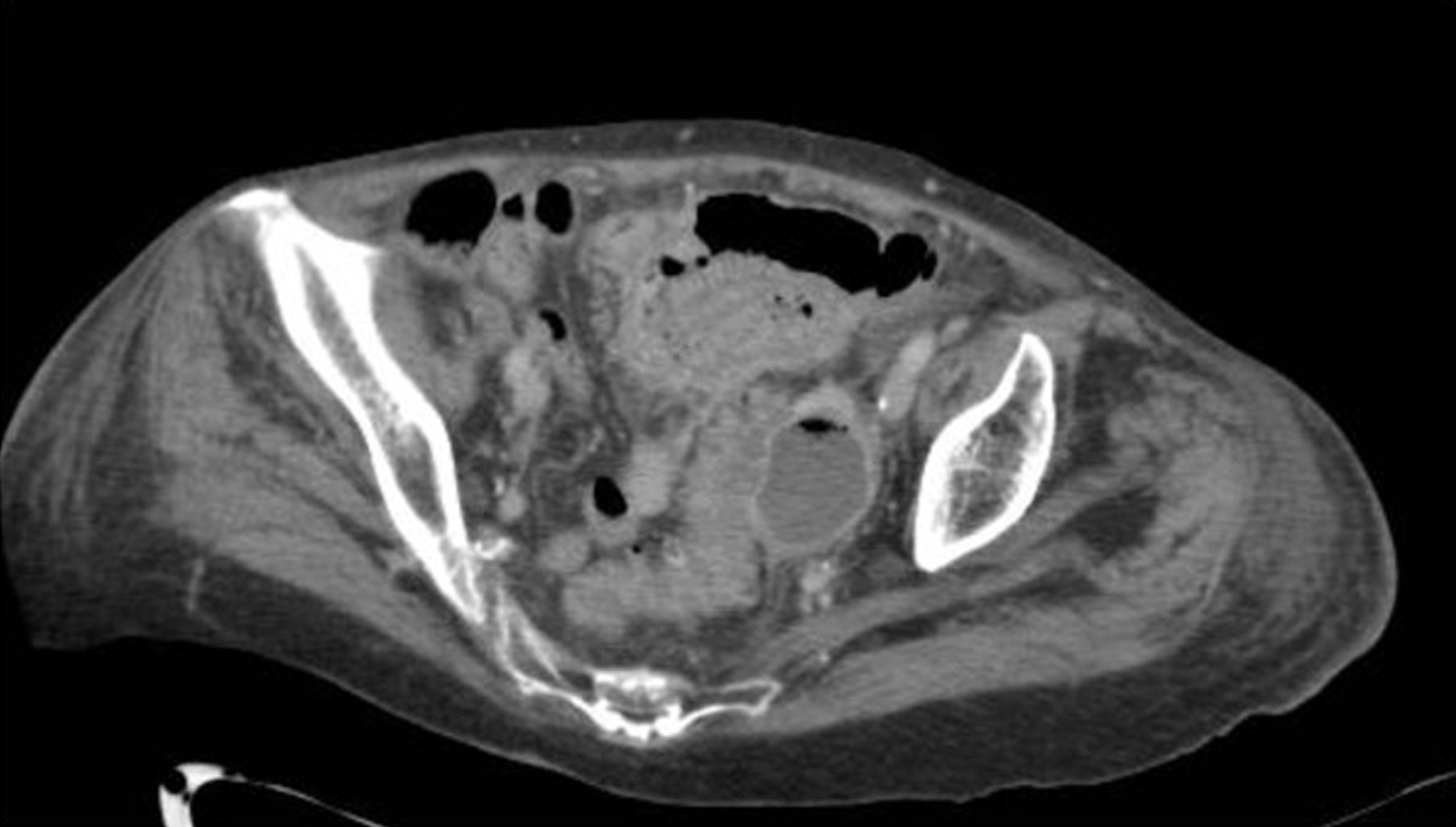
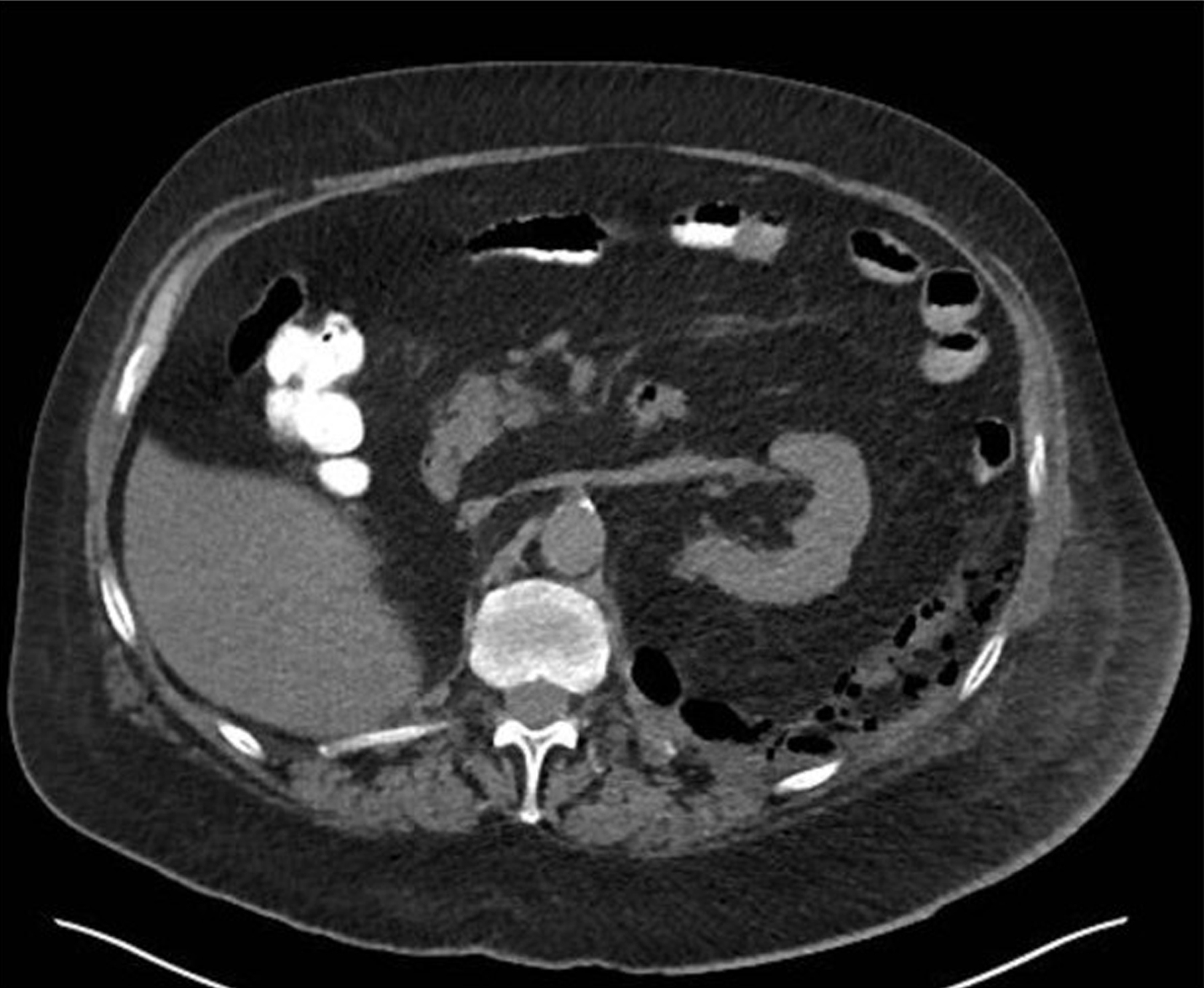
Abdominal CT has become the standard of care for diagnosing diverticulitis. A CT without contrast can identify the presence of diverticular disease. CT with intravenous (IV) contrast is commonly used to assess for diverticulitis. However, CT with both IV and enteric (either oral or rectal) contrast is the ideal method to assess for diverticulitis and any associated complications, with 98% sensitivity and 99% specificity. CT findings may include colonic wall thickening, pericolonic fat stranding, localized perforation (also known as micro-perforation), abscesses, as well as free air or fluid ( Figs. 81.1–81.3 ). While generally outside the scope of ED practice, the Hinchey staging system can be used to stratify diverticulitis based on the level of abscess formation or perforation ( Box 81.4 ).
Uncomplicated diverticulitis (arrow) showing multiple air-filled structures lining the edge of the left colon (diverticuli), and hazy outer border of bowel segment (fat stranding) indicative of inflammation.
Computed Tomography Imaging Demonstrating Diverticulitis With Abscess Formation.
From Sartelli M, Moore FA, et al. A proposal for a CT driven classification of left colon acute diverticulitis. World J. Emerg. Surg . 2015;10(3):1–11, Fig. 4.
Computed Tomography Imaging Illustrating Diverticulitis With Free Air Formation as a Result of Perforation.
From Sartelli M, Moore FA, et al. A proposal for a CT driven classification of left colon acute diverticulitis. World J. Emerg Surg . 2015;10(3):1–11, Fig. 5.
BOX 81.4
Hinchey Classification of Diverticulitis
-
1a.
Pericolonic phlegmon and inflammation without fluid collection
-
1b.
Pericolonic abscess <4 cm
-
2.
Pelvic abscess or abscess >4 cm
-
3.
Purulent peritonitis
-
4.
Feculent peritonitis
There are other imaging methodologies that were once used or suggested for the evaluation of diverticulitis that are no longer recommended, such as barium enemas, water-soluble contrast enemas, ultrasonography, and plain radiography. Colonoscopy was previously indicated after resolution of the acute episode to assess for underlying malignancy; however, it is now recommended to follow age-appropriate screening guidelines for colonic malignancy.
Management
Diverticulosis
Patients with diverticulosis are recommended to initiate a high-fiber diet in order to reduce abdominal symptoms. Physical activity has been associated with a decreased risk for developing acute diverticulitis, although the mechanism behind this benefit is unclear. Patients were previously instructed to avoid foods that may obstruct diverticula, such as nuts, small seeds, and popcorn, but this has been largely discredited due to the lack of evidence.
Uncomplicated Diverticulitis
There is more evidence to suggest that acute diverticulitis is an inflammatory process and not an infectious process. In fact, guidelines published by the American Gastrointestinal Association in 2015 advocate for the selective (as opposed to routine) use of antibiotics in treating uncomplicated diverticulitis. If antibiotics are utilized, oral antibiotics should cover both Gram-negative aerobic and anaerobic bacteria ( Box 81.5 ). The vast majority of patients with uncomplicated diverticulitis can be managed on an outpatient basis. Studies have shown no benefit in the use of IV antibiotics when compared with oral antibiotics for uncomplicated diverticulitis. Liquid diets with instructions to advance as tolerated should be recommended for patients that are managed as outpatients.
BOX 81.5
Oral Therapy for Uncomplicated Diverticulitis
-
•
Ciprofloxacin, 500 mg PO bid and metronidazole, 500 mg PO q8h
or
-
•
Amoxicillin-clavulanate, 875 mg–125 mg PO BID
Hospitalization for IV antibiotics and bowel rest is often required for elders, patients who are immunocompromised or have multiple comorbidities, and individuals who cannot tolerate oral liquids or have poor social support in the outpatient setting.
Complicated Diverticulitis
Patients with complicated diverticulitis should generally be admitted for IV antibiotics ( Box 81.6 ) and bowel rest. Surgical consultation is indicated when there is concern for peritonitis or perforation, continuing clinical decline, or sepsis resistant to medical management. Small abscesses (4 cm or less) may resolve with IV antibiotics alone, whereas larger abscesses are often treated with percutaneous drainage, with possible surgical management if unsuccessful. Fistulae are usually repaired surgically on an elective basis. Surgical resection may be considered in patients with recurrent episodes of diverticulitis.
BOX 81.6
Intravenous Antibiotic Coverage for Bowel Flora
Mild to Moderate Infection
-
•
Pediatric:
-
•
Metronidazole 7.5 mg/kg IV q6h AND ceftriaxone 50 mg/kg IV once daily OR
-
•
Gentamicin 2.5 mg/kg IV q8h AND metronidazole 7.5 mg/kg IV q6h
-
•
-
•
Adult:
-
•
Metronidazole 500 mg IV q8h plus
-
•
Ceftriaxone 1 g IV q24h or
-
•
Ciprofloxacin, 400 mg IV q12h or
-
•
Levofloxacin 750 mg IV q24h or
-
•
-
•
Ampicillin-sulbactam, 3g IV q6h
-
•
Severe/Complicated Infection
-
•
Piperacillin/tazobactam 3.375 g IV q6h or 4.5 g (100 mg/kg) IV q8h OR
-
•
Metronidazole 500 mg IV q8h (7.5 mg/kg IV q6h) PLUS Cefepime 2 g (50 mg/kg) IV q12h OR
-
•
Ertapenem, 1g IV q24h (weight-based dose in pediatrics: 15 mg/kg/dose IV BID) or imipenem/cilastatin, 500 mg IV q6h (weight-based dose in pedi-atrics: 60 to 100 mg/kg/day divided q6h) or meropenem, 1 g IV q8h (weight-based dose in pediatrics: 20 mg/kg/dose IV q8h)
Disposition
Younger patients and those who are immunocompetent with uncomplicated diverticulitis may be discharged from the ED. If antibiotics are prescribed, a 7- to 10-day course is recommended. Follow-up evaluation is advised within a few days to determine the efficacy of treatment. Approximately 95% of patients will have a resolution of symptoms with this approach. If not improving, further diagnostic imaging to look for possible complications, such as abscess formation, is prudent. Patients with complicated diverticulitis should be hospitalized for IV antibiotic therapy and bowel rest. Most patients (65% to 85%) recover with medical management alone, though some may require surgical intervention. Mortality rates range from 1% to 6% but increase to 12% to 18% for those requiring surgery.
Large Bowel Obstruction
Foundations
Background
Large bowel obstruction (LBO) is not as common as small bowel obstruction but is a more ominous condition frequently associated with malignancy. Most cases of LBO are due to a progressive narrowing of the intestinal lumen from intrinsic lesions within the lumen. Approximately 50% of all cases of LBO are eventually found to be secondary to underlying colorectal malignancy. Diverticular disease and volvulus are the next most common causes of LBO. Other less common intrinsic causes of LBO include IBD, ischemia, adhesions, endometriosis, or radiation. Extrinsic lesions can also cause LBO from an impingement of the intestinal lumen. The most common causes of extrinsic lesions causing LBO include ovarian cancer, followed by hernias.
Anatomy, Physiology, and Pathophysiology
The most common location for LBO is the sigmoid colon. Anatomically, it is important to note if the obstruction is proximal or distal to the splenic flexure for management purposes. Approximately 75% of colonic tumors are located distal to the splenic flexure. LBO along the left side of the colon may manifest sooner than obstruction along the right side of the colon due to the smaller lumen of the sigmoid and descending colon.
When mechanical obstruction is caused by an obstructing lesion, either intrinsic or extrinsic, the bowel proximal to the lesion becomes increasingly dilated. As the distention progresses, intraluminal pressure increases. When intraluminal pressure approaches systolic blood pressure, blood flow to the bowel wall is compromised, causing edema and subsequent transudation of fluid into the lumen. Transudation, along with decreased reabsorption of intraluminal fluid, further increases intraluminal pressure and decreases arterial flow to the bowel wall, which can lead to ischemia and gangrene. The translocation of bacteria from compromised bowel can lead to sepsis. Perforation of the bowel wall follows if the process is left uninterrupted.
Acute colonic pseudo-obstruction (ACPO), also known as Ogilvie syndrome, may mimic LBO. It refers to acute colonic dilation without evidence of mechanical obstruction. ACPO tends to affect the cecum and right hemicolon, although dilation can extend all the way to the rectum. It is thought to be a functional obstruction that results from either increased sympathetic tone or decreased parasympathetic tone. ACPO is often associated with other conditions that can affect autonomic intestinal innervation. ACPO tends to affect elders, chronic opioid users, postoperative patients, and those with severe electrolyte disturbances or other significant acute comorbid conditions.
Clinical Features
The typical presenting complaints in LBO are abdominal pain, abdominal distention, obstipation, or vomiting. Vomiting tends to occur in patients with an incompetent ileocecal valve, as it causes backflow into the small intestine. Patients with a competent ileocecal valve less frequently present with emesis and instead will exhibit both significant distention and pain. The time frame of symptom development varies in accordance with the etiology of the obstruction. LBO associated with a volvulus can develop rapidly, whereas obstruction from cancer tends to be gradual. The degree of stenosis is often associated with the acuity of presentation.
Patients seen later in the course of obstruction may be significantly dehydrated. Fever or tachycardia should prompt an investigation for gangrene or perforation. A palpable abdominal mass may represent a tumor, abscess, or simply distended bowel. A rectal examination is helpful to look for an obstructing rectal mass or large volume of hard stool in the rectal vault consistent with fecal impaction.
Differential Diagnoses
The most common causes of LBO are colorectal cancer (53%), volvulus (17%), diverticulitis (12%), and compression from other malignancies or metastatic disease (6%). Other less common causes are strictures, incarcerated hernia, fecal impaction, adhesions, or pseudo-obstruction.
Diagnostic Testing
Laboratory Tests
A chemistry panel is important to identify electrolyte derangements, as fluid and electrolyte replacement therapy tend to be the mainstay of ED treatment for LBO. An elevated white blood cell (WBC) count should raise suspicion for gangrenous bowel. Anemia may suggest the possibility of colorectal cancer. An elevated serum lactate level may point toward ischemic bowel as a complication.
Imaging Studies
Plain Radiography
Both supine and upright plain films are advised for the workup of LBO and ACPO ( Fig. 81.4 ). A distended colon (>6 cm diameter) is the hallmark of LBO, although the small bowel may be distended as well (>3 cm diameter) if the ileocecal valve is incompetent. A cecal diameter >6 cm is abnormal and when >12 cm is associated with a higher risk of perforation, although perforation has been known to occur at smaller diameters. The actual location and cause of the LBO are usually not evident on plain films.
Plain Radiographs Showing Large Bowel Obstruction at the Sigmoid Colon Caused by Carcinoma.
(A) Upright view. (B) Supine view.
Computed Tomography
CT is a valuable tool for determining the cause of the obstruction, especially if it is a diverticular abscess or intussusception. CT has the ability to locate the obstructing lesion in 96% of cases, especially if performed with both oral and rectal contrast. CT can also help determine if the cause of obstruction is either intraluminal or extraluminal. Diagnosis of ACPO is suggested with increased colonic diameter without evidence of an obstructive lesion.
Colonoscopy and Water-Soluble Contrast Enema
Water-soluble contrast enemas are no longer advised, given that CTs are now more accurate in making the diagnosis of LBO. Colonoscopy can be used to identify the location of the lesion; however, it is more commonly used now in the management of LBO.
Management
Management of LBO and ACPO in the ED is directed at symptomatic relief and supportive care. Many of these patients will require large volume fluid resuscitation and electrolyte replacement. Intravenous (IV) pain control is often required. Gastric decompression with a nasogastric tube may be helpful in cases in which vomiting is prominent. The patient should be kept no food by mouth (NPO). Antibiotics are indicated if gangrene or perforation are suspected (see Box 81.6 ).
Definitive management depends on the cause of obstruction. Endoscopically placed self-expanding stents are now the mainstay of treatment for obstructing lesions. These can either be placed as a bridge to surgery or can be used definitively for palliative management. Diverticular abscesses can be managed either with percutaneous or surgical drainage. Volvulus can be managed with endoscopic decompression or surgery (depending on whether it is sigmoid or cecal, respectively). Other less common causes of LBO, such as strictures, adhesions, or hernias, are typically managed surgically.
For ACPO, focus should be directed toward identifying and treating reversible factors such as electrolyte disturbances, or pharmacologic or metabolic factors. If conservative management is unsuccessful for up to 3 days, neostigmine (2 mg IV) or colonic decompression may be considered. Neostigmine theoretically increases acetylcholine, which promotes colonic motility. Endoscopic decompression is used to treat ACPO refractory to medical management.
Disposition
Most cases of LBO require procedural intervention to achieve resolution. Patients typically require hospitalization and consultation with a specialist capable of performing the appropriate procedure. Emergent surgical consultation is warranted for patients with evidence of gangrenous bowel or perforation. Oftentimes, ACPO develops in patients already hospitalized for other conditions associated with high morbidity, but it can also develop in the long-term care facility setting, prompting ED evaluation. Patients should be admitted for both conservative medical management and for decompression if necessary.
Volvulus
Foundations
Background
Volvulus occurs in all age groups, but older adults (mean age 60 to 70 years) are affected most often. Mortality rates with sigmoid volvulus exceed 50% in patients when associated with gangrenous bowel. Cecal volvulus tends to occur in younger patients and is more commonly seen in women.
Anatomy, Physiology, and Pathophysiology
Volvulus is defined as a loop of bowel that twists around itself and its associated mesentery, resulting in obstructive pathology. If the mesentery is twisted enough such that blood supply to the intestine is affected, ischemia may arise. Colonic volvulus typically occurs in a redundant colonic segment with an elongated mesentery along a narrow base. This most commonly occurs in the sigmoid and cecum, followed by transverse colon, or at the splenic flexure. Volvulus can result in ischemia, gangrene, perforation, and death. It is the third most common cause of colonic obstruction, following colorectal malignancy and diverticular disease.
Sigmoid Volvulus
Residents of long-term care facilities and patients with neurologic or psychiatric disease are predisposed to sigmoid volvulus, possibly as a result of alterations in colonic motility. There is an association of chronic constipation with the development of sigmoid volvulus, though this association is unclear. The mesentery of the sigmoid colon can withstand up to 180 degrees of twisting, and anything beyond this may result in colonic obstruction, ischemia, or necrosis. This occurs as a result of proximal colon forcing gas and liquid into the obstructed segment of the colon, causing a sometimes massive dilation of the distal colon. Electrolyte disturbances can occur secondary to third spacing, and respiratory compromise occasionally results from massive abdominal distention. Vascular supply can become compromised if left untreated.
Cecal Volvulus
The mobility of the colonic segment involving the cecum is likely a result of a congenital incomplete fusion of the cecal mesentery to the posterior abdominal wall. Risk factors for cecal volvulus also include chronic constipation, as well as a high-fiber diet, frequent laxative use, and a history of laparotomy, pregnancy, pelvic surgery, or colonoscopy. Long-distance running is also considered a risk factor.
Clinical Features
Sigmoid Volvulus
The hallmark of sigmoid volvulus is the triad of crampy lower abdominal pain, distention, and constipation. The extent to which the sigmoid colon can twist on itself varies, so the presentation can vary from subtle to dramatic. The clinical picture may range from one of minor discomfort that has been present for several days to an acute onset of severe abdominal pain associated with gross abdominal distention and unstable vital signs.
Physical examination may reveal a distended tympanic abdomen, often with most of the distention in the upper abdomen. Significant tenderness, fever, lack of bowel sounds, peritonitis, or cardiovascular instability suggests gangrenous or ischemic bowel and should prompt immediate surgical consultation. The absence of these findings does not exclude gangrene, and the duration of symptoms alone is not predictive of gangrene.
Full access? Get Clinical Tree





