Key Concepts
-
•
Axillary nerve function is best evaluated by testing the motor function of the deltoid muscle.
-
•
The three-view trauma series of the shoulder (true anteroposterior, scapular Y, and axillary views) leads to an accurate radiographic diagnosis of most fractures and dislocations, although specialized views are sometimes necessary. Consider the presence of unfused epiphyses in adolescents and young adults.
-
•
Most shoulder girdle fractures can be treated with simple immobilization with good functional outcomes.
-
•
The most important aspect of scapular fractures, scapulothoracic dissociation, and posterior sternoclavicular joint (SCJ) dislocations is the high incidence of associated injuries to the ipsilateral lung, chest wall, mediastinum, or shoulder girdle complex.
-
•
Type III acromioclavicular joint (ACJ) dislocations can be treated conservatively (immobilization, range of motion exercises, and strengthening).
-
•
Recurrence is a common complication after anterior dislocation, especially in male patients younger than 30 years old, and such patients likely benefit from arthroscopic surgical repair.
-
•
Posterior dislocation should be included in the differential diagnosis of any shoulder injury, particularly in patients who report shoulder pain after a seizure.
-
•
Ultrasound can be a useful technique for diagnosing tendon tears, selected soft tissue conditions, fractures, and dislocation, as well as for confirming successful reduction.
-
•
Early initiation of passive shoulder range-of-motion exercises reduces the risk of adhesive capsulitis when the shoulder is immobilized for any reason.
Foundations
Background and Importance
The shoulder joint is a unique and complex articulation unit. It has the largest range of motion of any appendicular joint in the body and can be moved through a space that exceeds a hemisphere.
Shoulder injuries are commonly encountered in emergency medicine and dislocations account for more than 50% of all major joint dislocations seen in the emergency department (ED). The shoulder can be injured by trauma (indirect or direct) or by overuse.
In general, children are vulnerable to the same injuries as those incurred by adults; however, the presence of the epiphysis and its growth plate changes the pattern of injuries. The strength of the joint capsule and its ligaments is two to five times greater than that of the epiphyseal growth plate. An injury that produces a sprain or dislocation in an adult often causes a fracture through the hypertrophic zone of the growth plate in a child. Most shoulder injuries in children can be treated conservatively, with a good prognosis for full return of function.
Anatomy, Physiology, and Pathophysiology
The shoulder girdle connects the upper extremity to the axial skeleton and the sternoclavicular joint (SCJ) represents the only true articulation point ( Fig. 45.1 ). The SCJ participates in all movements of the upper extremity and is the most moved joint in the body ( Fig. 45.2 ). The superior mediastinum containing the great vessels, trachea, esophagus, thoracic duct, lung apices, and other important structures is immediately posterior to the SCJ.
Anatomy of the Shoulder Girdle.
It consists of three bones: the clavicle, humerus, and scapula; three joints: the acromioclavicular, glenohumeral, and sternoclavicular joints; and one pseudoarticulation: the scapulothoracic pseudoarticulation.
From Roy S, Irwin R. Sports medicine: prevention, evaluation, management and rehabilitation . Englewood Cliffs, NJ: Prentice Hall; 1983.
The sternoclavicular joint is stabilized by several ligaments.
Redrawn from DePalma AF. Surgery of the shoulder . 3rd ed. Philadelphia: JB Lippincott; 1983.
The clavicle is an S-shaped bone that acts as a strut to support the upper extremity and keep it away from the chest wall, also protecting the subclavian vessels and brachial plexus. The middle third, which is thin and untethered, is the most commonly fractured segment.
The acromioclavicular joint (ACJ) connects the lateral end of the clavicle with the medial aspect of the acromion process ( Fig. 45.3 ). The ACJ has little or no bony stability and is dependent on associated ligaments and muscles for support.
Ligaments of the Acromioclavicular Joint.
Redrawn from DePalma AF. Surgery of the shoulder . 3rd ed. Philadelphia: JB Lippincott; 1983.
The scapula is a flat triangular bone that forms the posterior aspect of the shoulder girdle. The thin body of the scapula lies flat against the posterior thorax and widens laterally to form the glenoid fossa. The scapula’s thickened borders are the attachment sites for 18 muscle origins and insertions. The thick muscle coat and ability to recoil along the posterior chest wall protect the scapula from both direct and indirect trauma.
The glenohumeral articulation is a ball-and-socket–type joint that depends largely on associated capsule, muscles, and ligaments for stability ( Fig. 45.4 ). The absence of bony stability permits a range of motion greater than any other joint.
Anatomy of the Glenohumeral Joint.
Synovial membrane extends from the glenoid fossa to the humeral head. Overlying the synovial membrane is a loose and redundant fibrous capsule. Anteriorly, the capsule is thickened to form the superior, middle, and inferior glenohumeral ligaments. The anterior band of the inferior glenohumeral ligament is the most important restraint to anterior glenohumeral dislocations.
The proximal humerus articulates with the glenoid fossa and is the site for the attachment of many important muscles. The rotator cuff stabilizes the glenohumeral joint (GHJ) and consists of the supraspinatus, infraspinatus, teres minor, and subscapularis muscles ( Fig. 45.5 ). The long head of the biceps tendon originates from the supraglenoid tubercle and ascends over the humeral head to enter the arm via the bicipital groove (see Fig. 45.5 ). Long muscles that cross the articulation are involved primarily in movements of the GHJ. The pectoralis major, latissimus dorsi, and teres major muscles all insert into the humeral intertubercular groove. Displacements encountered with fractures of the humerus usually reflect the pull of these attached muscle groups. The proximal humerus is composed primarily of trabecular bone with a thin cortical shell. Changes in bone density with age increase the risk of fractures.
The four rotator cuff muscles: anterior view (subscapularis) and posterior view (supraspinatus, infraspinatus, and teres minor).
Netter illustration from www.netterimages.com . Copyright 2016 Elsevier Inc. All rights reserved.
The brachial plexus and subclavian vessels enter the shoulder girdle superiorly between the clavicle and the first rib, traverse under the coracoid process, and exit anterior to the inferior aspect of the GHJ as the median, ulnar, radial, musculocutaneous, and axillary nerves and axillary vessels. These nerves represent the final branches of the upper brachial plexus (nerve roots C5 to T1).
Clinical Features
History
Most complaints involve some combination of pain, stiffness, instability, or weakness. Pain can result from many different conditions extrinsic and intrinsic to the shoulder. Extrinsic sources of shoulder pain include disorders of the cervical spine, thoracic outlet, and myocardium, as well as symptoms referred from processes causing diaphragmatic irritation.
For intrinsic conditions, the most important factors to determine are the time and mechanism of injury (traumatic or overuse), location of the pain, and associated sensorimotor complaints. Shoulder pain also can manifest in an insidious manner, unrelated to any precipitating factor. In these instances, the duration, location, character, and aggravating and alleviating factors of the pain should be noted.
Stiffness usually manifests as a restricted range of motion resulting from an underlying painful condition of the shoulder. Instability can be chronic or acute and seen in the form of an obvious subluxation or dislocation or a sensation of the shoulder almost “going out of joint.” Significant shoulder weakness is usually the result of an underlying nerve lesion or rotator cuff tear.
Physical Examination
The shoulder should be inspected from the anterior, posterior, and lateral positions, in addition to the axilla. Any obvious deformity, ecchymosis, laceration, swelling, or hematoma should be noted.
Palpation of the shoulder should be performed systematically, beginning at the SCJ and moving laterally to the ACJ. Next, the scapula, GHJ, and humerus are palpated. Any point tenderness, crepitus, swelling, or deformity should be noted.
Active and passive range of motion should be tested, although this may be limited due to pain. Active range of motion is best determined with the patient in the sitting position to eliminate the contributions of the lumbar spine and lower extremity joints. Passive range of motion is best evaluated in the supine position. The degrees of abduction, forward flexion, extension, and internal and external rotation should be compared with those of the unaffected extremity. In addition, observe the motion of the scapulothoracic articulation. After 45 degrees of abduction, the scapula moves approximately 1 degree for every 2 degrees of glenohumeral motion. Specific strength tests for the rotator cuff include resisted internal rotation (subscapularis), resisted external rotation (infraspinatus and teres minor), and the “empty can” test (supraspinatus). The empty can test is performed with the patient resisting downward pressure with their arm raised forward to 90 degrees, with arm extended and pronated, such that the thumb is down (as if pouring out a can of liquid).
The examination is completed with an assessment of neurovascular function. A complete neurologic examination of the brachial plexus includes sensory (light touch and pinprick) and motor assessment ( Table 45.1 ). The radial pulse should be checked, although collateral circulation may preserve this, despite an underlying vascular injury. The presence of pallor, paresthesias, or a significant hematoma raises concern for a vascular injury. The neurovascular examination should be repeated and documented after any ED manipulation.
TABLE 45.1
Sensory and Motor Components of the Brachial Plexus
| Spinal Level | Sensory Area | Muscle |
|---|---|---|
| C2 to C4 | — | Trapezius |
| C5 | Lateral arm | Deltoid |
| C6 | Lateral forearm and thumb | Biceps |
| C7 | Tip of long finger | Thumb extensors |
| C8 | Tip of little finger and medial forearm | Finger flexors |
| T1 | Medial arm | Hand interossei |
Differential Diagnoses
Differential diagnoses for shoulder injuries are summarized in Table 45.2 .
Table 45.2
Differential Diagnoses for Shoulder Injuries
| Diagnosis | Differential Diagnoses |
|---|---|
| Clavicle fracture | Humerus fracture, AC joint injury, SC joint dislocation, soft tissue injury (contusion, sprain, strain) |
| Scapula fracture | Rib fracture, pneumothorax, hemothorax, glenohumeral dislocation, humerus fracture, and clavicle fracture |
| Humerus fracture | Glenohumeral dislocation, AC joint injury, rotator cuff tendon tear, soft tissue injury |
| Proximal humeral epiphysis | AC joint injury, humerus fracture, and glenohumeral dislocation |
| SC joint dislocation | Medial clavicle fracture, sternum fracture, rib fracture, mediastinal injury, and pneumothorax, soft tissue injury |
| AC joint dislocation | Distal clavicle fracture, acromion process fracture, coracoid process fracture, rotator cuff tear/strain, glenohumeral dislocation, soft tissue injury |
| Anterior glenohumeral dislocation | Proximal humerus fracture, proximal biceps tendon rupture |
| Posterior glenohumeral dislocation | Posterior glenohumeral subluxation, labral tear, glenoid fracture, proximal humerus fracture, scapula fracture |
| Inferior glenohumeral dislocation | Subglenoid anterior dislocation |
| Scapulothoracic dissociation | Glenohumeral dislocation, scapula fracture, proximal humerus fracture, and AC joint dislocation; brachial plexus injury |
| Impingement syndrome | Rotator cuff tendinopathy, rotator cuff tear, calcific tendinopathy, glenohumeral or acromio-clavicular osteoarthritis |
| Rotator cuff tear | Impingement syndrome, rotator cuff tendinopathy, biceps tendinopathy, AC joint osteoarthritis, GH or AC osteoarthritis |
| Biceps tendinitis | Proximal biceps tendon tear, rotator cuff tendon tear, rotator cuff tendinopathy, labrum tear, subluxing biceps tendon, and glenohumeral osteoarthritis |
| Biceps rupture | Subluxing bicep tendon, rotator cuff tendon tear, glenohumeral dislocation, and labrum tear |
| Calcific tendinitis | Rotator cuff tendinopathy, rotator cuff tear, impingement syndrome, and osteoarthritis |
| Adhesive capsulitis | Chronic dislocation, osteoarthritis, rotator cuff tendinopathy, calcific tendinitis, and rotator cuff tear |
AC , Acromioclavicular; GH , glenohumeral; SC , sternoclavicular.
Diagnostic Testing
Radiology
The initial assessment of traumatic injuries includes a three-view trauma series of radiographs consisting of true anteroposterior (45-degree lateral), trans-scapular lateral (“Y” view), and axillary lateral views. The true anteroposterior view is preferred over standard anteroposterior views, because it shows the GHJ without any bony overlap. Standard anteroposterior views obtained with the joint in internal and external rotation profile the lesser and greater tuberosity and are more useful in the evaluation of soft tissue conditions.
Orthogonal views include the axillary lateral, trans-scapular lateral, and apical oblique. The preferred view is the axillary lateral, which projects the GHJ in a cephalocaudal plane, helping to define the position of the humeral head with in the glenoid fossa and identify lesions of the coracoid process, humeral head, and glenoid rim. This view can be particularly helpful in identifying a posterior shoulder dislocation. If pain or post-reduction instability limits abduction, a modified axillary lateral view can be obtained by angling the central ray caudad with about 30 degrees of abduction. In the trans-scapular view, the scapula is projected as a Y, with the body forming the lower limb and the coracoid and acromion processes forming the upper limbs. The humeral head normally is superimposed over the glenoid, which is located at the junction of the three limbs. Advantages of this projection include its simplicity, reproducibility, and clear delineation of anatomic structures. Poor visualization of the glenoid is the primary disadvantage of the trans-scapular view. The apical oblique view (obtained by having the patient stand bending forward and angling the central ray 45 degrees caudally) shows the GHJ in a unique coronal projection. This view is useful in evaluating for Hill-Sachs lesions in shoulder dislocations, in addition to displacement and angulation of proximal humerus fractures.
Although plain radiographs suffice in most instances, additional bone and soft tissue details may be obtained via computed tomography (CT) or magnetic resonance imaging (MRI) in selected circumstances. Bedside point-of-care ultrasonography (POCUS) has emerged as a reliable screening and diagnostic imaging modality for selected conditions, in particular fractures of the clavicle, and soft tissue injuries, such as biceps tendon rupture and a rotator cuff tear.
Specific Injuries
Fractures
Clavicle
Foundations
The clavicle accounts for 3% to 5% of all fractures with a 2:1 male to female ratio. It is also the most commonly fractured bone in children. Clavicular fractures are classified anatomically and mechanistically into three groups. Fractures of the medial third are uncommon (5%) and occur as a result of a direct blow to the anterior chest. Fractures of the middle third are the most frequent ( Figs. 45.6 and 45.9 ), accounting for 80% of all injuries. The usual mechanism of injury involves a direct force applied to the lateral aspect of the shoulder as a result of a fall, sporting injury, or motor vehicle collision (MVC). Fractures of the lateral third (15%) result from a direct blow to the top of the shoulder and are classified further into subtypes. Type I fractures are stable and minimally displaced because the coracoclavicular ligament remains intact. Type II fractures are associated with a torn coracoclavicular ligament and have a tendency to displace because the proximal fragment lacks any stabilizing forces ( Fig. 45.7 ). Type III injuries involve the articular surface.
Displaced Midclavicular Fracture.
Type II lateral clavicular fracture and torn coracoclavicular ligament.
Courtesy Erik Foss, MD.
Clinical features
The affected extremity is held close to the body as a result of the effect of gravity and the pull of the muscles (pectoralis major, latissimus dorsi, sternocleidomastoid) on either side of the fracture site. The head is often tilted toward the injured side in an attempt to relax the effects of these displacing muscular forces. Tenderness, ecchymosis, crepitus, and a palpable or visible deformity may be present. Examine for any tenting of the skin, because this can cause progression to an open fracture. Furthermore, tenting of the skin is one of the indications for operative fixation and reduction. Although rare, it is prudent to evaluate for associated neurovascular and pulmonary injury due to close proximity of the subclavian vessels, brachial plexus, and lung apex. The most common complications are delayed union, nonunion, and symptomatic malunion. Displaced middle third fractures have a 15% to 20% rate of nonunion and up to 25% rate of symptomatic malunion. Type III lateral clavicle fractures can lead to subsequent AC joint osteoarthritis.
Differential diagnoses
In patients with direct fall onto lateral shoulder the differential diagnosis includes soft tissue injury (hematoma, contusion, strain, sprain), AC, GH, and SC joint injuries as well as rib, scapula, and humerus fractures.
Diagnostic testing
Clavicle-specific plain radiographs may be required to confirm the presence of a fracture, although most clinically significant fractures are diagnosed on chest or shoulder radiographs. Fractures in children can be reliably diagnosed or ruled out by POCUS, decreasing the exposure to radiation ( Fig. 45.8 ).
Ultrasound images of the clavicle. (A) Normal. (B) Midclavicular fracture.
Courtesy Keith Cross, MD.
Management
Principles of initial management for simple fractures include pain control, immobilization primarily for comfort, and proper follow-up care. In addition to oral analgesics, pain associated with clavicle fractures can also be managed with an ultrasound-guided superficial cervical plexus block in the ED. Fractures of the clavicle are adequately immobilized with a simple sling since this results in similar functional outcomes and rates of union while providing greater pain relief than a figure-of-eight clavicular bandage. Emergent orthopedic consultation should be sought for open fractures or fractures associated with neurovascular injuries, skin tenting, or interposition of soft tissues. More urgent orthopedic consultation (within 72 hours) is recommended for type II lateral clavicle fractures, because these fractures have up to a 30% incidence of nonunion and may require surgical repair. Severely comminuted or displaced fractures of the middle third (defined as over 18 mm of initial shortening) are also associated with a higher incidence of nonunion and long-term functional deficits and deserve urgent orthopedic evaluation for consideration of operative reduction. ,
Disposition
Most fractures of the clavicle heal uneventfully, and follow-up can be provided by a primary care physician. A sling should be worn until the patient is comfortable, which may precede radiographic evidence of callous formation. Early passive shoulder range-of-motion exercises ( Fig. 45.10 ) are encouraged to reduce the risk of adhesive capsulitis (commonly referred to a “frozen shoulder”). Adolescents and adults generally require 4 to 8 weeks of immobilization. Contact sports should be avoided until the bone healing is solidified (6 to 8 weeks). Full range of motion of the shoulder and an absence of pain are two reliable clinical signs that the fracture has healed.
Greenstick fracture of the clavicle (arrow).
Types of Active and Passive Shoulder Exercises.
(A) Passive flexion. (B) Passive external rotation. (C) Pendular. (D) Passive internal rotation.
Scapula
Foundations
Fractures of the scapula are rare, accounting for approximately 1% of all shoulder fractures and caused by high-energy trauma, such as high-speed MVCs and falls from heights. Scapular fractures rarely require management but are associated with major injury (75% to 98%), specifically injuries to the ipsilateral lung, chest wall, and shoulder girdle complex. The most common associated orthopedic injuries are fractures of the ribs, proximal humerus, and clavicle. Associated lung injuries, including pneumothorax, hemothorax, and pulmonary contusion, usually occur acutely, but may manifest up to 2 to 3 days after the initial injury. Associated injuries of the head, spinal cord, brachial plexus, and subclavian or axillary vessels are less common.
Scapular fractures are divided into two main types: extra-articular (neck [ Fig. 45.11 ], body, acromion process, coracoid process, spine) and intra-articular (with partial or total glenoid involvement).
Extra-Articular Fracture Involving the Neck of the Scapula.
Note the associated midclavicular fracture.
Clinical features
In a conscious patient, the shoulder is held in a position of most comfort, usually with the arm adducted and held close to the body. Any attempts at movement will result in significant pain. Tenderness, crepitus, or hematoma may be noted over the fracture site. The clinical findings occasionally mimic those seen with a rotator cuff tear. Associated injuries of the ipsilateral lung, chest wall, and shoulder girdle account for most complications. Neurovascular (e.g., brachial plexus, axillary artery, suprascapular nerve) injuries also have been reported with fractures of the acromial process, coracoid process, scapular neck, body, or spine fractures that extend into the suprascapular notch. Delayed complications include adhesive capsulitis and rotator cuff dysfunction.
Differential diagnoses
High energy trauma that can lead to a scapula fracture should also include the following on the differential diagnosis: rib fracture, pneumothorax, hemothorax, glenohumeral dislocation, humerus fracture, and clavicle fracture. The shoulder girdle is complex, so high-energy injury mechanisms to one part can affect any other associated part.
Diagnostic testing
Radiology
The three-view trauma shoulder series will reveal most scapular fractures, as will careful examination of the scapula on the trauma chest radiograph. An os acromiale (unfused acromial process epiphysis) is present in 3% of the population, will not be tender to examination, and should not be confused with an acromion fracture. A comparison film can be useful, because the abnormality is present bilaterally in 60% of cases. Although additional dedicated scapula views can be obtained in the ED, the presence and the extent of scapular injury is best determined by CT scan. In the event that a trauma chest CT scan has been obtained to search for associated injuries, a three-dimensional reconstruction of the scapula should be requested to define the nature and extent of the injury.
Management
Presence of a scapular fracture should prompt a thorough search for associated thoracic, intracranial, orthopedic, and neurovascular injuries . Most fractures, including fractures with severe comminution heal rapidly with nonoperative therapy. Initial therapy consists of analgesia, immobilization in a sling for comfort to support the ipsilateral upper extremity, and passive range-of-motion exercises (see Fig. 45.10 ). Most patients require a sling for 2 to 4 weeks, physical therapy, and follow-up assessment for delayed displacement.
Nondisplaced fractures of the body, spine, and acromion process usually require no further therapy. Displaced acromial fractures that impinge on the GHJ require surgical management. Rarely, the acromion is fractured as part of a superior dislocation of the humeral head. In these instances, an accompanying tear of the rotator cuff which may require surgical repair is invariably present. If the coracoclavicular ligaments remain intact, fractures of the coracoid process respond well to conservative therapy. Severely displaced coracoid fractures with ruptured coracoclavicular ligaments usually require open reduction and internal fixation. Scapular neck and glenoid fossa fractures present the most difficult management issues. Although most of these injuries also do well with conservative therapy, open reduction and internal fixation may be necessary to improve long-term function.
Proximal Humerus
Foundations
Fractures of the proximal humerus occur primarily in the older population, in whom structural changes (osteoporosis) weaken the proximal humerus, predisposing it to injury from low-energy falls. Although most of these injuries involve minimal displacement and are adequately managed with conservative therapy, significantly displaced fractures may require operative intervention. Displacements encountered with fractures of the humerus usually reflect the pull of the attached muscle groups.
Fractures of the proximal humerus separate along old epiphyseal lines, producing four distinct segments consisting of the articular surface (anatomic neck), greater tuberosity, lesser tuberosity, and humeral shaft (surgical neck). The Neer classification system is based on the relationship of these fracture fragments. In this system, a segment is considered displaced if it is angled more than 45 degrees or separated more than 1 cm from the neighboring segment. Because this classification system considers only displacement, the number of fracture lines is irrelevant. There are four major categories of fracture: (1) minimal displacement ( Fig. 45.12 ), (2) two-part displacement ( Fig. 45.13 ), (3) three-part displacement, and (4) four-part displacement. When present, anterior and posterior dislocations are included as part of the classification. Impaction and head-splitting fractures are classified separately.
Three-part minimally displaced fracture of the proximal humerus involving the greater and lesser tuberosities.
Anteroposterior (A) and axillary (B) radiographic views of a two-part displaced fracture of the proximal humerus. The degree of displacement often is better visualized on the axillary view.
Courtesy David Nelson, MD.
The classic mechanism of injury involves a fall on an outstretched abducted arm. Concurrent pronation limits further abduction and levers the humerus against the acromial process; this produces a fracture or dislocation, depending on the tensile strengths of the bone and surrounding ligaments. Older patients are prone to fracture, whereas younger persons are apt to have dislocations. The combined injury (fracture and dislocation) may be seen in middle-aged patients. Proximal humerus fractures also may result from a direct blow to the lateral side of the arm or from an axial load transmitted through the elbow. High-energy mechanisms and polytrauma are more common in younger persons.
Clinical features
The affected arm is held close to the body, and movement is restricted by pain. Tenderness, hematoma, ecchymosis, deformity, or crepitus may be noted over the fracture site. A thorough neurovascular examination is essential to identify associated injuries of the axillary nerve, brachial plexus, or axillary artery (see Table 45.1 ). The most common complication of proximal humeral fractures is adhesive capsulitis. This complication can be prevented by the early initiation of pendular shoulder exercises, along with a thorough rehabilitation program. One of the most devastating complications is avascular necrosis (AVN), which is more common in multi-part fractures, and fracture-dislocations due to the disruption of the blood supply to the humeral head. Repeated forceful attempts at reduction of fracture-dislocations may be associated with subsequent heterotopic bone formation (myositis ossificans). Neurovascular injuries (axillary nerve, brachial plexus, and axillary artery) may be encountered with displaced surgical neck fractures and fracture dislocations.
Differential diagnoses
The differential diagnosis of a proximal humerus fracture includes: glenohumeral dislocation, AC joint separation, rotator cuff tendon tear, or soft tissue injury including hematoma, contusion, and muscle strains.
Diagnostic testing
The three-view trauma series allows for assessment of the number of fracture fragments and degree of displacement or angulation. Cross-sectional imaging is usually not necessary in the ED; however, there may be certain situations where it is helpful, including making the diagnosis of an occult fracture, orthopedic surgery request for surgical planning, and further evaluation of neurovascular structures. If there is high concern for a vascular injury, a CT scan with contrast is the most appropriate study. If there is concern for a peripheral nerve injury, an MRI may be helpful, although a normal MRI does not rule out an associated nerve injury. In such instances, patients may require an outpatient electromyography (EMG) and orthopedic consultation.
Management
Minimally displaced fractures (see Fig. 45.12 ) constitute up to 80% to 85% of all cases. In these instances, limited displacement or angulation is present, and the fracture segments are held together by the capsule, periosteum, and surrounding muscles. Initial treatment consists of adequate analgesia and immobilization with a sling. A Cochrane review noted that rapid commencement of physiotherapy (within 1 week) resulted in less pain without compromising long-term outcomes. Initial passive exercises (see Fig. 45.10 ) are gradually replaced by more active and resistive exercises. Most nondisplaced fractures heal over 4 to 6 weeks.
The management of displaced two-part, three-part, and four-part fractures remains controversial and an orthopedist should be consulted. A prospective randomized clinical trial failed to show a significant functional difference between operative and nonoperative treatment of displaced two-part, three-part and four-part fractures in elderly patients. , If operative treatment is selected, the procedures of choice for three-part and four-part fractures are reverse hemiarthroplasty or hemiathroplasty. ,
Fracture-dislocation injuries are best managed in consultation with an orthopedic surgeon before attempts at reduction (except in cases of neurovascular compromise or unavailability of an orthopedic surgeon). Reductions of these injuries in the ED may be unsuccessful, and manipulation can cause separation of previously non-displaced segments. Closed reduction under fluoroscopic visualization and general anesthesia is preferable.
Pediatric Proximal Humeral Fracture
Foundations
Fractures of the proximal humeral physis and metaphysis are uncommon and account for a small proportion of pediatric fractures. The injury can occur at any age while the physis remains open but is most common in adolescent boys. The most common mechanism of injury involves a fall onto the outstretched hand, and the fracture typically occurs through the zone of hypertrophy in the epiphyseal plate. Injuries can be classified according to their location (Salter system), stability, and degree of displacement.
Clinical features
The patient typically holds the injured arm tightly against the body, using the opposite hand. The area over the proximal humerus is swollen and tender to palpation. Complications are rare and include malunion, growth plate disturbances, and injuries to the neurovascular bundle. Markedly displaced or angulated fractures can result in a residual loss of mobility.
Differential diagnoses
The differential diagnosis for pediatric proximal humeral fractures varies based on age and acuity of the injury. Differential diagnoses for acute traumatic injuries include osteochondral lesion in the GHJ (rare in the upper extremity), AC joint injury (more common in late teenage years as physis reaches maturity), and glenohumeral dislocation.
Diagnostic testing
Orthogonal radiographs help confirm the diagnosis. Comparison views may be helpful with minimally displaced fractures ( Fig. 45.14 ). POCUS can also be used to identify these injuries.
(A) Salter I injury of the right proximal humeral epiphysis. (B), Normal left side is included for comparison.
Management
Fractures of the proximal humeral epiphysis can result in significant permanent injury and disability as the physis accounts for 80% of the longitudinal growth of the bone. Urgent orthopedic consultation should be obtained for all such injuries in the ED.
Dislocations
Sternoclavicular
Foundations
SCJ dislocations are infrequent and account for less than 1% of all dislocations. Significant forces are required to disrupt the strong ligamentous stabilizers of this joint. The most common causes are MVCs and injuries sustained in high impact contact sports. The vast majority of dislocations are anterior. Posterior dislocations, although less common, can be associated with life-threatening injuries within the superior mediastinum. The usual mechanism of injury for anterior and posterior dislocations is pictured in Fig. 45.15 . Posterior dislocations can also result from a direct blow to the medial clavicle.
Mechanisms That Produce Posterior and Anterior Displacements of the Sternoclavicular Joint.
(A ) When a compression force (upper arrow) is applied to the posterolateral aspect of the shoulder, the medial end of the clavicle is displaced posteriorly (lower arrow). (B) When the lateral compression force (upper arrow) is directed from the anterior position, the medial end of the clavicle is dislocated anteriorly (lower arrow). The same mechanism could apply with any type of lateral compression injury of the shoulder.
From Neer CS, Rockwood CA. Fractures and dislocations of the shoulder. In Rockwood CA, Green DP, eds. Fractures in adults . 4th ed. Philadelphia: JB Lippincott; 1984.
Injuries to the SCJ can be graded into three types. A grade I injury is a mild sprain of the sternoclavicular and costoclavicular ligaments. A grade II injury is associated with subluxation of the joint (anterior or posterior) secondary to disruption of the sternoclavicular ligament and capsule. Complete rupture of the sternoclavicular and costoclavicular ligaments results in a grade III injury (true dislocation). In patients younger than 25 years old, these may represent Salter type I injuries if the medial clavicle epiphysis is unfused.
Clinical features
Clinical suspicion based on mechanism and exam is the single most important factor in diagnosing these injuries. The injured extremity is flexed at the elbow and supported across the trunk by the opposite arm. Pain results from any movement of the upper extremity or lateral compression of the shoulders. The SCJ may be mildly swollen and tender to palpation. With an anterior dislocation, the displaced medial end of the clavicle may be palpable. Posterior dislocations are more painful and may be associated with complaints of hoarseness, dysphagia, dyspnea, and weakness or paresthesia in the ipsilateral upper extremity. The patient’s neck is often flexed toward the injured side and the clavicular notch of the sternum may not be palpable. Hoarseness may be related to tracheal injury. Damage to the innominate vein may present as cyanosis and venous congestion of the neck, which should prompt vascular imaging and consultation. Complications of anterior injuries are primarily cosmetic. By contrast, 25% of posterior dislocations may be complicated by life-threatening injuries to intrathoracic and superior mediastinal structures. These include compression or laceration of the great vessels, tracheoesophageal fistula, tracheal compression, pneumothorax, thoracic outlet syndrome, and brachial plexus injuries.
Differential diagnoses
The differential diagnosis for patients with traumatic SC joint pain include medial clavicle fracture, rib fracture, costochondral injury, sternum fracture, sternoclavicular dislocation, contusion, mediastinal injury, and pneumothorax.
Diagnostic testing
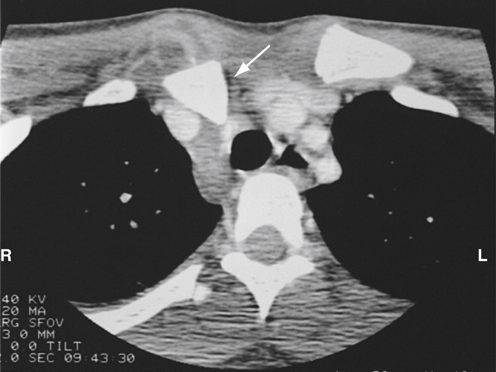
Although diagnosed clinically, sternoclavicular dislocation requires radiological confirmation. Findings on standard anteroposterior, oblique, and specialized (40-degree cephalic tilt) SCJ views are challenging to interpret. These dislocations and associated injuries are best visualized by a chest CT angiogram ( Fig. 45.16 ). POCUS can be a useful bedside adjunctive test.
This computed tomography (CT) scan shows posterior dislocation of the right sternoclavicular joint (SCJ; arrow ) with compression of the superior mediastinum.
Courtesy Donald Sauser, MD.
Management
Treatment of grade I injuries includes sling immobilization for comfort and primary care follow-up. Immobilization generally is maintained until symptoms improve and full painless motion is restored. Grade II injuries should be immobilized with a sling and the patient referred for orthopedic follow-up care. Grade II injuries require a longer course of immobilization (4 to 6 weeks) and are more likely to be associated with persistent pain. Grade III injuries are generally managed by closed reduction and rarely with open reduction.
Anterior dislocations may be reduced in the ED with proper analgesia and on occasion may require general anesthesia. Patient positioning is optimized by a bolster between the scapulae ( Fig. 45.17 ). Stable reductions should be maintained in a sling and referred for orthopedic follow-up care. Most reductions are unstable; and because the deformity is primarily cosmetic and not functional, the treatment of choice for recurrent anterior dislocations is benign neglect and pain control.





