Key Concepts
-
•
Over the past 20 years, emergency ultrasound (EUS) has become an integral part of emergency medical care in the United States and has become standard in the evaluation of emergency medical conditions.
-
•
EUS answers specific, often binary questions, and is therefore neither sufficient nor intended to diagnose all of the broad range of pathologic processes encountered in emergency medicine.
-
•
During cardiac arrest, ultrasound can be used to rapidly detect ventricular motion in asystole and pulseless electrical activity and confirm cardiac standstill.
-
•
The subcostal four-chamber view, as in the focused assessment of sonography in trauma, is ideal for assessment of pericardial effusion and useful during cardiac arrest because it does not interfere with chest compressions.
-
•
Although cardiac tamponade is a clinical diagnosis, there are several suggestive echocardiographic features, including diastolic collapse of the RV, loss of respiratory variation of the inferior vena cava (IVC), and transvalvular flow velocity paradoxus.
-
•
EUS is more sensitive and specific compared with supine chest radiography for the detection of pneumothorax, approaching that of CT.
-
•
Pneumonia on EUS appears as dynamic air bronchograms, hyperechoic areas within bronchi that move with respiration usually visualized within the consolidated lung, and are highly specific for alveolar consolidation.
-
•
Color Doppler can help differentiate mild hydronephrosis from renal vasculature, and possibly accentuate any renal stones by producing the renal twinkle artifact.
-
•
EUS has reduced the morbidity of ectopic pregnancy by shortening the time to diagnosis and operating room treatment.
-
•
In the ED, ultrasound-guided internal jugular cannulation is associated with decreased time to vessel penetration and improved success in the difficult access patient, improved overall and first-attempt success rates, reduced time to insertion, and reduced complication rate.
Foundations
Emergency ultrasound (EUS), also known as bedside ultrasound (US), clinical US or point-of-care US (POCUS), is the imaging examination performed and interpreted simultaneously at the patient’s bedside by the treating clinician. This focused sonographic examination may be used for diagnosis, resuscitation, physiologic monitoring, procedural guidance, and assessment of specific symptoms or signa (e.g., shortness of breath) in emergency medicine. EUS provides clinically important information that cannot be gleaned from the physical examination (inspection, palpation, auscultation, etc.) and therefore, is not an extension of the physical examination but an additional modality. Over the past 20 years, EUS has become an integral part of emergency medical care in the United States and has become standard in the evaluation of emergency medical conditions. In 2001, the American College of Emergency Physicians (ACEP) published guidelines for the use of EUS and, in 2016, expanded the scope of practice to 12 core applications: (1) trauma, (2) pregnancy, (3) cardiac/hemodynamic assessment, (4) abdominal aorta, (5) airway/thoracic, (6) biliary, (7) urinary tract, (8) deep vein thrombosis (DVT), (9) soft tissue/musculoskeletal, (10) ocular, (11) bowel, and (12) procedural guidance. EUS training is required by the Residency Review Committee and residents have to demonstrate competency in this milestone before graduation. For those emergency clinicians who trained prior to the EUS residency requirements, initial training often occurs through continuing medical education courses, followed by a period of proctoring or supervision. Recent educational advances, such as simulation, task trainers, internet-based training, and nontraditional media (e.g., electronic books, mobile device applications, social media) may also enhance US training.
EUS answers specific, often binary questions, and is therefore neither sufficient nor intended to diagnose all of the broad range of pathologic processes encountered in emergency medicine. Consequently, if the clinical question cannot be answered with EUS, it is up to the emergency clinician to choose another modality for diagnosis. Although typically performed in the emergency department (ED), the portability of EUS allows its use throughout the hospital, as well as out-of-hospital use in mobile transport, disaster areas, military engagements, international rescue work, resource-limited settings, and remote locations. The recent proliferation of handheld US machines further increases the availability of EUS for clinical use; however, these handheld or pocket-sized devices must still be used in the same manner as their predecessors. The main risk management issues reported concerning EUS are failure to perform the examination in a timely manner, or at all, when within the scope of practice defined by the ACEP EUS guidelines. ,
Specific Issues
Basic Ultrasound Information
Physics and Knobology
A brief summary of relevant terminology is presented in ( Box e3.1 ). Readers seeking more in-depth reviews of US physics, machine controls, US modes, and instrumentation are encouraged to visit the Sonoguide website ( https://www.acep.org/sonoguide/basic/ultrasound-physics-and-technical-facts-for-the-beginner/ ). Other relevant lectures on this topic can be accessed through the Academy of Emergency Ultrasound (AEUS) Vimeo Channel ( https://vimeo.com/aeus ) or website ( https://www.saem.org/about-saem/academies-interest-groups-affiliates2/aeus/education/aeus-narrated-lecture-series ), as well as various sites noted at the end of this chapter.
BOX e3.1
Common Definitions
-
Ultrasound (US)—sound waves with frequencies >20,000 Hz. Modern diagnostic US typically operates in the 1- to 18-MHz range
-
Window—soft tissue where transducer is placed to interrogate tissue in the body
-
B mode or brightness mode (grayscale or two-dimensional)—graphs the amplitude of reflected US waves as shades of gray from black to white on a monitor screen
-
Gain—adjusts the amplitude of signals on the ultrasound display (brightness)
-
Time-gain compensation (TGC)—changes gain at specific depths
-
M mode (motion mode)—displays reflected waves over time and distance; used to calculate rates (e.g., fetal heart rate) and evaluate moving structures (e.g., cardiac valves)
-
Color flow Doppler—displays direction and velocity of flow
-
Power Doppler (power angiography)—displays velocity of flow, but not direction
-
Pulsed wave Doppler—demonstrates velocity and direction of flow in a waveform display
-
Focus—image area where US beam is narrowest and lateral resolution is greatest
-
Near field—area on display from transducer to focus
-
Far field—area on display from focus to the bottom of the display
-
Anechoic—without sounds (black)
-
Echogenic—with sounds (white)
-
Hyperechoic—with more reflected sounds than adjacent tissue (more echogenic)
-
Hypoechoic—with less sound than adjacent tissue (less echogenic)
Transducer Selection
In general, image resolution is inversely proportional to penetration and the emergency clinician should choose the transducer with the highest resolution for the depth needed to obtain appropriate images. There are 4 basic transducer types, and selection criteria for each is listed in ( Table e3.1 ).
TABLE e3.1
Ultrasound Transducers
| Transducer Type | Screen Image Shape | Examination Types |
|---|---|---|
|
Flat linear array
High frequency |
Square or rectangular | Superficial structures: soft tissue, musculoskeletal, appendicitis in a thin child or adult, lung evaluation for pneumothorax, and procedural guidance |
|
Endocavitary array
High frequency |
Pie shaped | Early pregnancy, peritonsillar abscess |
|
Curved linear array
Low frequency |
Pie shaped | Abdominal and lung |
|
Phased array
Low frequency |
Pie shaped | Cardiac, abdominal, and lung |
| Transesophageal echocardiographic | Cardiac |
Safety and Disinfection
US biosafety includes use of the ALARA ( a s l ow a s r easonably a chievable) principle, appropriate Doppler usage, and appropriate microbiologic disinfection of the US transducer and system. Following the ALARA principle, emergency clinicians should perform EUS only when indicated and limit the time of sonographic investigation. Doppler modes should be minimized over sensitive tissue, including early gestation and germinal, mucosal, ocular, and neural tissues. All transducers should be cleaned according to the various types of examinations and the indicated disinfection type, either low-level or high-level. Surface transducers should be cleaned at the bedside with mechanical removal of gel and debris, followed by low-level disinfection with an appropriate spray or wipe. Endocavitary transducers require high-level disinfection, a more prolonged and substantial cleaning method, because they come into contact with mucous membranes. Safety also includes the use of appropriate barriers over transducers, nonsterile and sterile, as well as sterile gel or clean water.
Focused Assessment with Sonography in Trauma
The focused assessment with sonography in trauma (FAST) examination was the original EUS application, developed as a noninvasive alternative to diagnostic peritoneal lavage, and evaluates for hemoperitoneum, hemopericardium, and hemothorax. The FAST was then extended to include evaluation for pneumothorax as the E-FAST examination and now plays a valuable role in the evaluation of patients with blunt or penetrating thoracoabdominal trauma. The FAST examination is accurate and clinically relevant in hypotensive patients with traumatic injuries, decreasing patient morbidity, time to operating room and hospital charges. Stable patients with a positive FAST examination will often still require computed tomography (CT) imaging due to the growing trend for nonoperative or interventional management of blunt solid organ injury. EUS-diagnosed traumatic pericardial effusions receive more rapid operative intervention and have lower mortality rates. Furthermore, EUS is more sensitive and specific compared with supine chest radiography for the detection of pneumothorax, approaching that of CT. ,
Image Acquisition
The FAST examination technique uses a low-frequency broadband transducer (2–6 MHz) to evaluate dependent peritoneal spaces, pleural spaces, and the pericardium for free fluid, which in the trauma patient is presumed to be blood. There are four main components of the basic FAST examination: (1) the right upper quadrant (RUQ) view, (2) the left upper quadrant (LUQ) view, (3) the pelvic view and (4) the cardiac view ( Fig. e3.1 ). The E-FAST includes anterior chest views to evaluate for pneumothorax. The RUQ view evaluates for fluid in the thorax (above the diaphragm) ( Video e3.1 ), hepatorenal space (Morison pouch) and the paracolic gutter (inferior edge of the liver and right kidney) ( Video e3.2 ), moving cephalad to caudad. The LUQ view, found slightly more superior and posterior than the RUQ, should mimic the RUQ views, but also include the subdiaphragmatic space, because free intraperitoneal fluid tends to accumulate here initially. The pelvis should be evaluated in the transverse and longitudinal planes, where fluid may be detected deep to the uterus (in females) or in the retrovesical space (in males) ( Video e3.3 ). The cardiac evaluation can be performed in either the subcostal (or subxiphoid) or parasternal window ( Video e3.4 ). Evaluation for pneumothorax uses a low or high-frequency transducer at a shallow depth, placed along the anterior chest wall and will be discussed in more detail in subsequent sections.
Negative FAST images. (A) Subxiphoid view with no pericardial effusion. (B) Negative RUQ view showing the thorax and hepatorenal space without the paracolic gutter visualized. There is mirroring and loss of the spine, indicating a negative thorax. (C) Negative paracolic gutter area by the liver tip in the RUQ view. (D) LUQ view showing negative thorax, as in B, and splenorenal space. (E) Negative transverse bladder view. (F) Negative sagittal bladder view.
Pathology
Typically, free fluid is anechoic, but it can have echogenicity if active extravasation, a blood clot, or bowel contents are present within the fluid. Compared with other fluid-filled structures in the abdomen and pelvis, peritoneal free fluid generally has sharp pointed edges and an irregular shape, whereas most visceral or vascular structures have intrinsically smooth oval or round contours. The volume of fluid required for a positive US study depends on the site of injury, sonographic window, and experience of the operator, but 250 mL or more is generally visible, and nearly 600 mL of fluid is required for a positive upper quadrant window. With pericardial fluid, once a certain volume is reached, the pressure in the pericardial space increases dramatically, resulting in cardiac tamponade. Generally, at least 50 mL of fluid is required to cause hemodynamic compromise in a patient without prior pericardial inflammation ( Fig. e3.2 ).
Positive FAST images. (A) Positive RUQ view showing a thin stripe of fluid in the hepatorenal space. The thorax is negative and paracolic gutter not visualized. (B) Positive LUQ view showing a hemothorax and splenorenal space. There is loss of mirroring and continuation of the spine. (C) Subxiphoid view showing a pericardial effusion circumferentially. (D) Positive transverse bladder view with free fluid noted posterior to the bladder on the right of the image.
Special Considerations
In obstetric patients, abruption and fetal viability may necessitate an earlier operative course. FAST is unreliable for the detection of hemoperitoneum in patients with pelvic fractures. The detection of free fluid in an unstable patient with a pelvic fracture may be due to uroperitoneum from bladder injury rather than hemoperitoneum from vascular injury, clouding the decision for laparotomy versus pelvic embolization. In addition, retroperitoneal injuries to the genitourinary tract are not reliably assessed with the FAST examination. The FAST is further discussed in the “Pediatric Emergency Ultrasound” section.
Biliary
Biliary US, to detect gallstones and associated acute cholecystitis (AC), was one of the early applications of EUS and should be considered in patients with right upper quadrant pain, epigastric pain, jaundice, right flank pain, and sepsis without a clear source. Biliary US is fast and accurate, with a reported sensitivity of 87% to 94% and specificity of 82% to 96% in the detection of gallstones, comparable to radiologic US. , Despite the demonstrated high sensitivities and specificities for this examination, there remains a gap between this evidence and the decision making of surgical services, likely due to a lack of trust in biliary EUS. Recent studies have questioned the benefit of measuring the CBD.
Image Acquisition
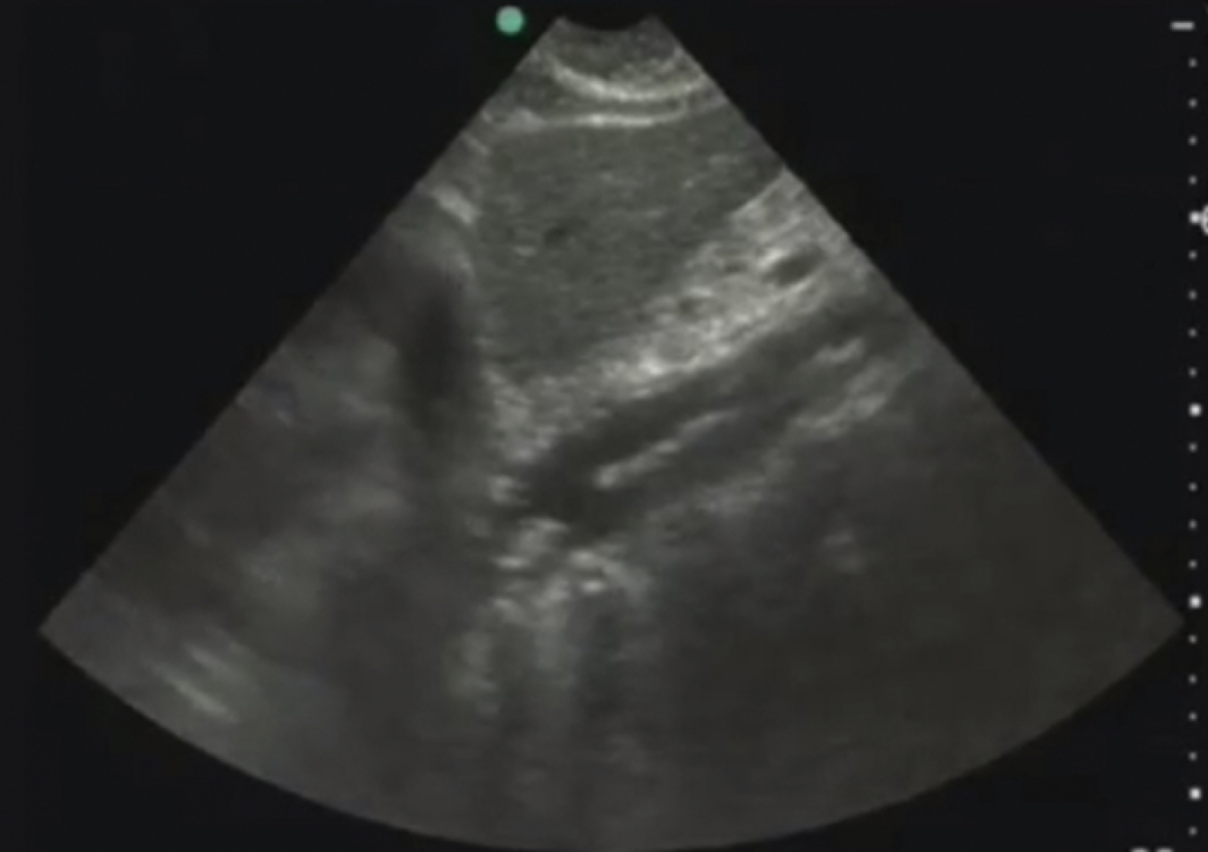
The examination is performed with a low-frequency curved linear array or phased array transducer. Subcostal and intercostal windows will facilitate visualization of the gallbladder (GB), which should be evaluated in two orthogonal (perpendicular) planes ( Fig. e3.3 ). Visualization and measurement of the common bile duct (CBD) remain part of the examination and should be performed.
Normal sagittal view of the gallbladder
Pathology
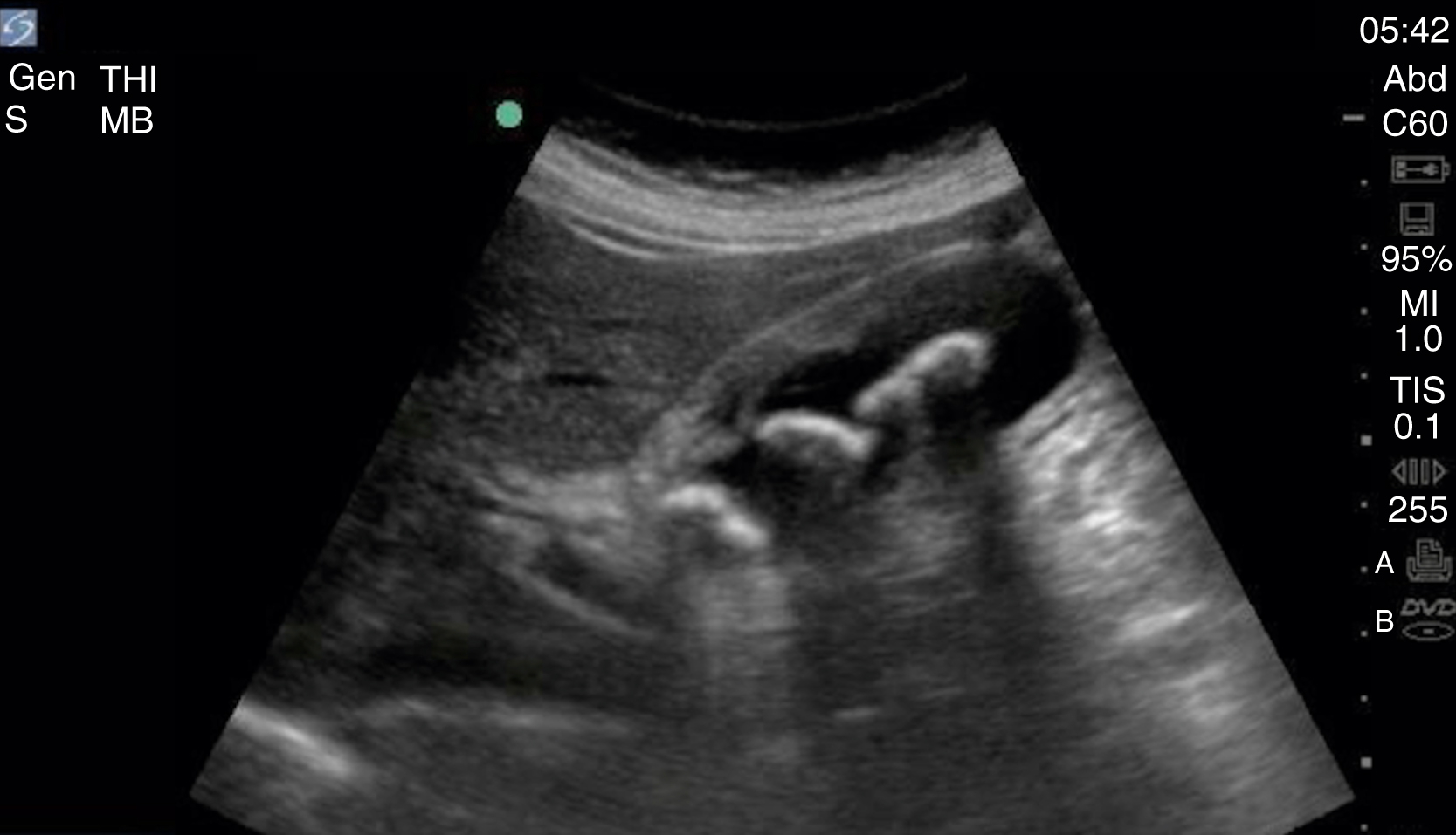
The diagnosis of cholelithiasis is made by identification of echogenic foci within the gallbladder lumen with associated shadowing. Other image patterns include stones with indistinct shadow, sludge, and the wall-echo-shadow (WES) sign seen in a gallbladder full of gallstones ( Video e3.5 ). Although many sonographic findings can be seen with AC, including gallstones, dilated gallbladder, increased gallbladder wall thickness (>3 mm), sonographic Murphy sign, pericholecystic fluid, and CBD dilatation, gallstones are present in 95% to 99% of AC cases ( Fig. e3.4 ). A nonmobile stone in the gallbladder neck, confirmed in the left lateral decubitus position, is highly suggestive of eventual cholecystitis. A CBD larger than 6 mm in people younger than 60 years and larger than 10 mm in older patients may indicate choledocholithiasis.
Sagittal gallbladder with signs of acute cholecystitis including stones with posterior shadowing, thickening of the wall anteriorly, and pericholecystic fluid seen within the wall of the gallbladder.
Urinary Tract Ultrasound
Renal and urinary tract EUS can detect hydronephrosis and/or urinary retention in patients with back, abdominal or groin pain. In addition, bladder US is useful for the detection of urinary retention, Foley catheter localization, and guidance during suprapubic aspiration or Foley placement. Recent studies have shown that emergency clinicians are capable of finding hydronephrosis with EUS on adults, infants, and children when compared to CTs and/or radiologists, and that use of US for this purpose reduces length of ED stay.
Image Acquisition
Renal US includes orthogonal views of the kidneys, with an emphasis on visualization of the renal calyces/pelvis. The sonographic windows for the two kidneys are similar to those used in the trauma upper quadrant views. The bladder view is performed from the suprapubic window in transverse and sagittal planes. Ureteral jets can be assessed by placing color Doppler over the trigone of the bladder in the transverse view. Bladder volume calculations ( Fig. e3.5 ) may be performed with on-machine calculators or by using the formula:
Bladder volume measurements.
Pathology
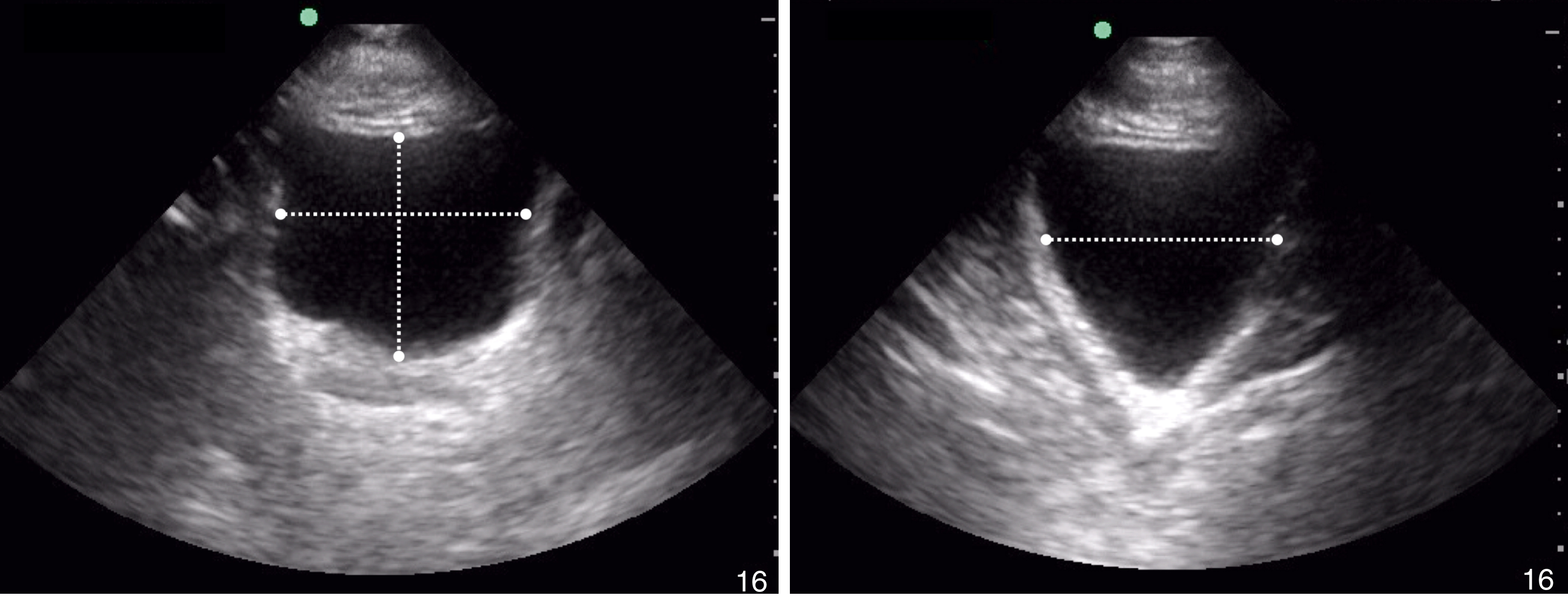
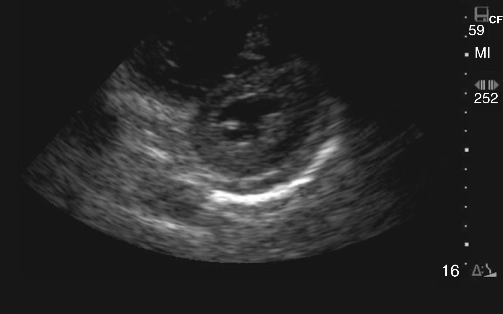
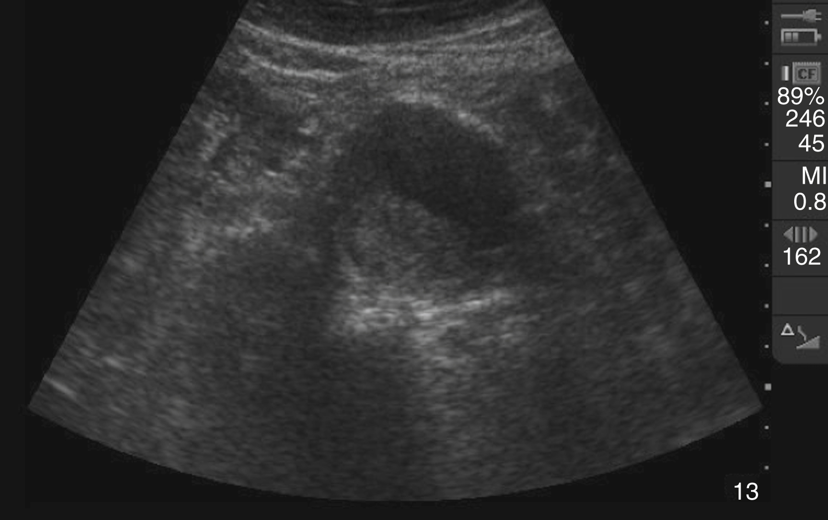
Hydronephrosis is characterized by dilation and anechoic fluid accumulation within the renal pelvis and calyces, ranging from mild to severe ( Fig. e3.6 ). Renal and/or ureteral calculi may be identified as echogenic foci with associated shadowing and are usually located within the kidney (nonobstructive) or in the renal pelvis, proximal ureter, or uretero-vesicular junction. Color Doppler placed over the kidney can help differentiate mild hydronephrosis from the renal vasculature, as well as possibly accentuate any renal stones by producing the renal twinkle artifact.
Hydronephrosis with dilation of the calyces and renal pelvis of the kidney showing thinning of the cortex, signifying severe hydronephrosis.
Abdominal Aorta
Emergency clinicians’ use of EUS to detect an abdominal aortic aneurysms (AAA) in patients with flank, abdominal, groin, and/or back pain, with or without unexplained hypotension, has a sensitivity of 95% to 100% and specificity of nearly 100%. , Although intraperitoneal and/or retroperitoneal hemorrhage may be detected, abdominal US is insufficiently sensitive to exclude a leaking AAA and, therefore, CT should be performed in patients with known or suspected aneurysms in whom the clinical picture suggests the possibility of rupture. Likewise, emergency US may demonstrate evidence of an aortic dissection, with sensitivities of 80% to 90% and specificity of 100%, but should not be used to exclude this potentially life-threatening diagnosis.
Image Acquisition
Using a low-frequency transducer (curvilinear or phased array) and significant pressure to displace the overlying bowel gas, the aorta should be visualized from the subxiphoid region to the umbilicus (bifurcation) in both transverse and longitudinal planes. The transverse view should be obtained first to avoid the cylinder tangent error, which could falsely underestimate the size of the aorta ( Fig. e3.7 and Video e3.6 ). Cross-sectional measurements should be taken of the aorta, outer wall to outer wall, including any mural thrombus that might be present. Aortic dissection may be detected by a combination of abdominal and cardiac scanning, with the addition of a suprasternal notch view to the traditional cardiac windows.
Normal transverse view of the aorta.
Pathology
An aortic diameter greater than 3 cm constitutes an abdominal aortic aneurysm, but risk of rupture increases with size and is rare with aneurysms smaller than 4.5 cm ( Fig. e3.8 and Video e3.7 ). A linear echogenic flap, anywhere across the lumen of the aorta, is suggestive of aortic dissection and may be associated with a different Doppler flow pattern on either side of the flap ( Fig. e3.9 and Video e3.8 ). The cardiac US examination may demonstrate an unexplained pericardial effusion, a dilated aortic root (>4 cm), aortic insufficiency, and/or a linear echogenic flap in the descending aorta.
Transverse view of a AAA with mural thrombus.
Aortic dissection flap visualized on longitudinal view of the aorta.
Cardiac/Hemodynamic Assessment
Cardiac US enables rapid assessment for pericardial effusion, global left ventricular (LV) systolic function, and right ventricular (RV) enlargement, and may prove valuable in hemodynamic assessment and early detection of valvular or aortic emergencies. Indications for cardiac US include cardiac arrest, suspected pericardial effusion, trauma, chest pain, undifferentiated hypotension, or dyspnea. Cardiac US performed by emergency clinicians shows high accuracy in the detection of pericardial effusion, assessment of LV function, and evaluation of patients with undifferentiated shock. During cardiac arrest, US can be used to rapidly detect ventricular motion in asystole and pulseless electrical activity and confirm cardiac standstill. Because advanced cardiac life support guidelines have suggested minimizing noncardiopulmonary resuscitation intervals, transesophageal echocardiography may prove even more useful in the periarrest patient.
Image Acquisition
Cardiac US is performed through the transthoracic and transabdominal windows with the use of small curvilinear or phased array transducers. Typical views include the subcostal four-chamber view (subxiphoid), parasternal long-axis view ( Fig. e3.10 ; see Video e3.4 ), parasternal short-axis view, and apical four-chamber view. The subcostal four-chamber view, as in the FAST, is ideal for assessment of pericardial effusion and useful during cardiac arrest because it does not interfere with chest compressions. The long-axis subcostal view highlights the inferior vena cava (IVC) and can indicate volume status. The parasternal views are excellent windows for LV assessment. The apical four-chamber view is ideal for comparison of RV and LV sizes and function. Several US protocols have been developed to evaluate undifferentiated hypotension and can be used to narrow the differential diagnosis.
Normal parasternal long-axis view of the heart.
Pathology
Pericardial fluid is typically anechoic, although it can contain internal echoes in cases of pericardial hemorrhage or infection. Large pericardial effusions are usually circumferential but can be loculated. As a result, assessment for pericardial effusion should include multiple views, when feasible, to confirm diagnosis and to avoid mistaking the epicardial fat pad for a pericardial effusion. Although cardiac tamponade is a clinical diagnosis, there are several suggestive echocardiographic features, including diastolic collapse of the RV ( Video e3.9 ), loss of respiratory variation of the IVC ( Fig. e3.11 ), and transvalvular flow velocity paradoxus.
Plethoric IVC showing where to take a measurement.
Assessment for global LV systolic function can be performed with visual estimation ( Video e3.10 ) and/or assessment of E-point septal separation (EPSS). EPSS is the distance between the anterior mitral valve leaflet and the ventricular septum measured using M-mode. A distance greater than 7 mm is abnormal, with larger measurements correlating to worsening systolic function. Emergency clinicians should recognize that accurate visual estimation of global LV systolic function requires experience and may prefer to categorize systolic function dichotomously as depressed or normal.
RV assessment is another useful tool for the emergency clinician when pulmonary embolism (PE) is high on the differential. With increasing right heart pressure, the RV dilates, squeezes poorly, and ultimately develops flattening of the interventricular septum, creating the “D” sign ( Figs. e3.12, e3.13 , and Video e3.11 ). The sparing of the RV apex is called the McConnell sign and is highly suggestive of PE. ,
Apical 4-chamber view of the heart with an enlarged RV.
Parasternal short axis view with “D” sign signifying increased RV pressure.
Airway/Thoracic Ultrasound
Thoracic US should be considered in patients with chest pain, dyspnea, and/or cough in whom the emergency clinician suspects pleural effusion, pneumothorax, pneumonia or pulmonary edema. US evaluation of the acutely dyspneic patient has been associated with increased diagnostic accuracy as compared to traditional clinical examination, particularly for the identification of patients with a cardiogenic cause of acute dyspnea. One study with a total of 1827 patients comparing lung US to chest x-ray showed US to be as specific and more sensitive than x-ray in identifying acute decompensated heart failure.
Image Acquisition
Thoracic US is often performed with a low-frequency curvilinear array or phased array transducer, although visualization of lung sliding may be enhanced, if necessary, by the use of a high-frequency linear array transducer. The original BLUE (Bedside Lung Ultrasound in Emergency) protocol evaluated 4 areas on each hemithorax, but subsequent studies have looked at a number of protocols and additional areas of the anterior, lateral, and posterior thorax. Lung sliding, a normal finding, is identified as the visceral and parietal pleura gliding against each other during normal respiration. A lines, horizontal equally spaced echogenic artifacts deep to the pleural line, are also a normal finding ( Fig. e3.14 ).
A lines signifying normal lung.
Pathology
The visualization of lung sliding excludes the presence of a pneumothorax at that location on the patient’s chest wall. Although M-mode and color Doppler techniques have been described as adjuncts to the evaluation of patients with suspected pneumothorax, neither is a necessary component of the examination. Absent lung sliding can result from a variety of causes in addition to pneumothorax, including pleural adhesions or consolidations, blebs, pleurodesis, partial or complete pneumonectomy, and contralateral mainstem bronchus intubation ( Fig. e3.15 ). A lung point sign is identified at the border of the pneumothorax, where the image shows absent lung sliding until the lung moves into the interspace with respiration ( Video e3.12 ).
M mode images of the lung. (A) Normal lung with “seashore” sign. (B) Pneumothorax with “stratosphere” or “barcode” sign.
Once the pleural line has been evaluated for sliding, then the determination of intraparenchymal fluid should be made. A lines indicate a dry lung, whereas B lines indicate the presence of fluid within the lung. B lines are vertical hyperechoic reverberation artifacts that arise from the pleura, move with respiration, extend off the screen without fading, and erase the normal A line pattern ( Fig. e3.16 ). Normally found in small numbers in the dependent areas of the lung (atelectasis), the widespread distribution of B lines, typically 3 or more in one lung window, indicates increased interstitial and/or alveolar thickening due to fluid accumulation (edema) or scarring (fibrosis). , As the lung accumulates fluid with consolidation, such as a lobar pneumonia, it can appear echogenic, so-called liver-like (hepatization). When diagnosing pneumonia with lung US, the consolidation needs to be in contact with the pleura to be visible within an intercostal window. Other signs can be seen with pneumonia, but dynamic air bronchograms, hyperechoic areas within bronchi that move with respiration, usually within the consolidated lung, are highly specific for alveolar consolidation. As seen in the E-FAST examination, pleural fluid appears as an anechoic collection above the diaphragm, although internal echoes may be present in cases of chronic, infected, or loculated effusions.



