Tendinopathy
Foundations
Background and Importance
Tendons are collagenous, dynamic structures that connect muscle to bone. They transmit forces originating in muscles to bone by stiffening, thereby enabling joint motion.
Key Concepts
Tendinopathy
-
•
Mechanical overload and repetitive microtrauma are key underlying mechanisms in the development of tendinopathy. Patients most often present with a history of progressively worsening localized pain after repetitive work- or sports-related activities.
-
•
Tendinopathy may also be associated with nonmechanical causes, including systemic manifestations of diseases, infectious etiologies, and the use of fluoroquinolones or statins.
-
•
Most patients with tendinopathy can initially be treated with conservative measures, such as activity modification/protection, icing, medications (e.g., short-term use of nonsteroidal antiinflammatory drugs [NSAIDs] or nitroglycerin patches for certain tendinopathies), bracing/splinting, ergonomic modifications, and graduated exercises.
-
•
Overuse syndromes can take at least 6 to 12 weeks to heal. Advise patients accordingly and provide appropriate referral for follow-up to a musculoskeletal specialist (e.g., a sports medicine, orthopedic, or physical medicine and rehabilitation specialist).
-
•
Emergent imaging may be indicated in the ED when fracture or a condition such as calcific tendinopathy is suspected. The use of point-of-care ultrasound to evaluate tendinopathy can help to identify tendon disruption/rupture.
-
•
Operative treatment may be indicated for selected cases of tendon injury that require primary repair (e.g., rupture of the Achilles tendon) or that have failed to respond to conservative treatment (e.g., rotator cuff tendinopathy).
Bursitis
-
•
Consider the possibility of an infectious cause in all cases of acute bursitis.
-
•
The definitive diagnosis of bursitis is made by aspiration of the bursa and evaluation of the fluid.
-
•
Septic bursitis is most commonly caused by Staphylococcus aureus.
-
•
Nonseptic bursitis may be traumatic, rheumatologic (e.g., gout and pseudogout), or idiopathic in nature. It is prudent to consider other conditions, such as septic arthritis, osteomyelitis, or an underlying fracture, in the differential diagnosis of bursitis.
-
•
The management of bursitis includes treatment with appropriate medication (antibiotics for septic bursitis, NSAIDs for nonseptic bursitis), rest, application of ice, compression, elevation, and prompt referral for appropriate follow-up. Hospitalization should be considered for severe local infections, for patients who are immunosuppressed, and in the presence of systemic toxicity.
Approximately 30% of all musculoskeletal evaluations performed in the emergency department (ED) or urgent care settings are attributed to tendinopathy, and the incidence is rising. A contributing factor is the increasing level of daily participation in athletics and fitness-related activities, up 3.6% across a recent 12-year period. Nearly half of all sports participants will be injured at some point, with up to 50% of injuries involving tendinopathy. For instance, with approximately 1.5% of the population running on a daily basis the number of affected runners accumulates quickly. One study found that over one year, 27% of novice runners, 32% of long distance runners, and 52% of marathon participants sustained injuries with the majority related to overuse. In another investigation, 70% of professional and 25% of youth basketball injuries were due to tendinopathy.
Exercise is not the only culprit precipitating tendinopathy, however. Occupational exposures are a prominent cause of tendinopathy, resulting from lower demand, highly repetitive tasks (contrasted with higher demand, explosive sporting activities). Professions that involve repetitive motion, localized contact stress, awkward positions, vibrations, or forceful exertion are more likely to result in overuse injury such as tendinopathy. Shoulder tendinopathies are particularly common in the workplace, representing up to 13.6% of all musculoskeletal complaints regardless of one’s occupation. The nature of such work is further compounded by longevity; those working 25 to 35 years are 7.1 times more likely to develop tendinopathy. The economic end result is staggering, with an estimate of nearly $800 billion in health care costs over a 3-year span attributed to these conditions. Furthermore, for all nonfatal injuries in the United States (U.S.), tendinopathies account for the fifth most days away from work, totaling on average 14 days (with only fracture-related injuries accounting for more lost days of work). Ergonomic and medical intervention programs may reduce the incidence of work-related injuries and decrease their socioeconomic impact.
Aside from the acute pain and functional limitations, tendinopathies often become chronic (i.e., greater than 3 months in duration) and can be disabling. Patients may experience symptoms for extended periods despite appropriate therapy and recurrence is common, affecting 49% of athletes with patellar tendinopathy. Meanwhile, 40% to 50% of patients with rotator cuff tendinopathy exhibit symptoms at 6 to 12 months.
Mechanical overload and repetitive microtrauma to the musculotendinous unit are thought to be the major precipitating causes of most tendinopathies. While the affected tendon is primarily under tensile overload, compression of the tendon occurs as well (e.g., fiber bundles contacting each other or friction/shearing against bone). Broadly, there are intrinsic and extrinsic factors that modify the pathophysiologic state of the tendon. Intrinsic factors such as age, gender, blood type O, adiposity, tobacco use, malalignment, joint laxity, muscle weakness, and imbalance can result in excessively high or frequent mechanical loads during normal activity. Extrinsic factors such as ergonomics, equipment changes, abnormal movements, excessive duration of activity, increased frequency or intensity of activity, and environmental conditions can also contribute to the development of tendinopathy.
Other potential contributing etiologies include excessive protein intake, systemic disease (e.g., coronary artery disease, diabetes mellitus, and gout), or medication use. An increased incidence of tendinopathy and tendon rupture, particularly of the Achilles tendon, has been attributed to fluoroquinolone antibiotics. This risk appears greatest within the first month of use, in those over age 60 years, in patients receiving corticosteroid treatment (4.68-fold increase for all tendons and 14.72-fold increase for Achilles tendon rupture), and in those with renal disease. Statins have been implicated as contributing to tendinopathy as well (2% incidence), although simvastatin is thought to actually decrease this risk. Overall, most tendinopathies are multifactorial in origin. Several of the common areas affected by tendinopathy are shown in Fig. 103.1 .
Location of common sites for tendinopathy or bursitis.
Modified from Branch WT. Office Practice of Medicine , ed 2. Philadelphia: Saunders; 1987.
Under optimal conditions, such as appropriately graduated athletic training, the musculotendinous units adapt to tension overload. This results from the ability of bone to increase its load-bearing capacity combined with an increase in size and strength generated by the hypertrophy of existing muscle fibers. An enhancement of tendon and ligament strength occurs through an increase in collagen content, collagen cross-linking, and mucopolysaccharide content. Unfortunately, many athletes may not allow sufficient time for this adaptive process to occur. For example, a soccer player may increase the number of games played, the duration of time per game played, participation intensity, or any combination of these factors with haste, restricting the cellular changes required to adapt to the increased stress. Poor running technique, suboptimal playing surfaces, environmental conditions, or improper equipment (particularly footwear) may also contribute to the development of an overuse syndrome.
Pathophysiology
The pathophysiologic mechanism of tendon healing has mainly been described in the context of acute injury (e.g., rupture), and correlation to the healing process in tendinopathy remains under investigation. Acutely injured tendons go through several stages in the healing process, starting with the hemorrhagic phase as blood accumulates and clots at the site of injury. The inflammatory stage then follows as neutrophils and macrophages initiate phagocytosis, removing the existing necrotic material. Healing then progresses to the proliferative phase where extrinsic cells (e.g., tendon sheath, fascia, periosteum) and intrinsic cells migrate and proliferate at the injured tendon. At this point, type III collagen is synthesized, which tends to be thinner and possesses less tensile strength than the tendon’s original type I collagen. The process then advances to the formative stage, which can last upwards of 2 months. In this stage, collagen fibers mature and orient themselves to handle tension forces. Finally, the remodeling phase features a shift toward the normalization of the ratio between type I and type III collagen followed by the reintroduction of physiologic load into the tendon. It may take up to 12 weeks for the tendon to regain its former strength. As the healing process ensues, unrestricted activity is generally avoided. However, atrophy associated with immobilization should also be avoided as the strength in healing tendons and ligaments increases more rapidly when controlled forces are applied. Consequently, optimal loading is now advocated as a means of advancing from rest to a balanced, incremental rehabilitation program. Such rehabilitation focuses on flexibility forces, core strengthening, eccentric strength training, and a measured return to resistive exercises so long as pain is minimal. Most patients with overuse tendinopathies fully recover within 3 to 6 months.
Clinical Features
General Tendinopathy
The history of the patient presenting with a tendinopathy can vary, although certain clinical features are characteristic. Recent repetitive stress may be reported due to work activities, changes in the workplace environment, or alterations in sport or recreational activities. It is important to ask patients to consider the weeks to months preceding the onset of symptoms to identify a potential inciting event or change (e.g., workplace ergonomics, protective footwear, new sports equipment). Occasionally, no cause is identified for a mechanical overload. A history of fluoroquinolone therapy, statin use, infectious disease, or other systemic illness (e.g., coronary artery disease, diabetes mellitus, gout) should also be obtained as initial presentations of rheumatologic disorders or infections, such as those from Mycobacterium, have been described.
Nonradiating, increasing pain at the site of the affected tendon is the most common presenting symptom of tendinopathy. The discomfort is frequently described as more severe following periods of rest. Unlike the discomfort of morning stiffness associated with arthritis, the pain of tendinopathy may resolve after initial movement only to be manifested as a throbbing pain after the cessation of exercise. Individuals may report similar prior episodes, whereas continued episodes may be accompanied by increased pain severity. Consequently, it may be helpful to inquire about a related previous diagnosis, how it was made, and which treatments (if any) were effective in resolving the prior episode.
When evaluating a patient suspected to have tendinopathy, a thorough, directed musculoskeletal examination offers valuable diagnostic information. Edema, swelling, erythema, atrophy, deformity, asymmetry, or visible signs of trauma may be identified. Palpate the tendon, noting warmth or crepitus (particularly with movement), or tenderness over the tendon, especially when localized and reproducing the patient’s pain. Although tendon palpation can be sensitive for reproducing tendinopathy-related symptoms, it is nonspecific in determining the affected structure. Check for underlying bone tenderness and consider the differential diagnoses listed in Box 103.1 . Motor function (particularly passive and active range of motion), strength (and evidence of weakness or pain), and joint involvement/stability should be noted.
BOX 103.1
Differential Diagnosis for Tendinopathy
-
Tendon rupture
-
Ligamentous injury
-
Inflammatory arthritis (e.g., rheumatoid)
-
Fractures (e.g., avulsion, stress)
-
Tumors
-
Tenosynovitis
-
Osteochondrosis (e.g., Osgood-Schlatter disease)
-
Bursitis
-
Septic arthritis
-
Osteoarthritis
-
Foreign bodies
-
Rhabdomyolysis
-
Osteomyelitis
-
Nerve entrapment syndromes
-
Tendon sheath infections (e.g., pyogenic)
In narrowing the diagnosis, it is important to determine whether the source of pain is articular (within the joint capsule) or periarticular (around the joint capsule). Arthritis typically produces generalized joint pain, warmth, swelling, and diffuse tenderness. The discomfort of arthritis increases with both passive and active motion of the joint. Conversely, the pain of a tendinopathy tends to be more localized. Tenderness and swelling do not occur uniformly across the joint, and pain may be produced only with certain movements, particularly with resisted active contraction or passive stretching of the affected muscles or tendons. Mechanical hyperalgesia (i.e., increased pain with passive and active range of motion) may reduce the specificity of the commonly used clinical tests discussed later in this chapter.
Specific Tendinopathies
Shoulder
Tendinopathies of the shoulder joint include impingement syndrome (which includes subacromial bursitis or rotator cuff tendinopathy), bicipital tendinopathy, calcific tendinopathy, and adhesive capsulitis (frozen shoulder syndrome).
Impingement Syndrome and Rotator Cuff Tendinopathies
The shoulder joint is predisposed to soft tissue injury because of its extensive range of motion and unique anatomic structure ( Fig. 103.2 ). Although inherently unstable, the muscles of the rotator cuff (supraspinatus, infraspinatus, teres minor, and subscapularis) and the glenohumeral ligaments (GHL) stabilize the joint. The muscles of the rotator cuff originate from the scapula and their tendinous insertions are found on the fibrous capsule of the glenohumeral joint after traversing through the subacromial space. The presence of the subacromial bursa serves to ensure fluidity of movement though may become inflamed as a part of an impingement syndrome. Impingement of the tendons occurs because of their position interposed between the humeral head and the acromion. The functional arc of the elevated shoulder is forward and in the anterior plane. As a result of this position, the greater tuberosity of the humerus may compress (impinge) the tendons of the rotator cuff (usually the supraspinatus) against the undersurface of the anterior third of the acromion. Additionally, the long head of the biceps may be involved in impingement syndrome due to its location between the supraspinatus and subscapularis tendons in the rotator interval. This compressive component may combine with tensile loads on the rotator cuff to predispose patients to a chronic tendinopathy. Development of this tendinopathy may be the result of overuse of the extremity that leads to microtrauma of the tendinous fibers, individual anatomic differences (congenital or from the process of aging, such as osteophytic changes), or both. Other entities that may coexist and complicate an impingement syndrome include subacromial bursitis, bicipital tendinopathy, or calcific tendinopathy.
Anatomy of the shoulder rotator cuff and supporting ligaments. GHL , Glenohumeral.
Ninety-five percent of rotator cuff tears are associated with impingement, exclusive of tears due to a one-time traumatic event. Three progressive stages of impingement syndrome as a result of overuse have been described. The first stage is frequently seen in athletes younger than 25 years of age who participate in sports that require repetitive overhead motions of the shoulder (e.g., swimming, volleyball, baseball). The pain is usually described as a dull ache over the anterolateral shoulder, extending from the shoulder to the middle upper arm, often occurring after an activity involving flexion and abduction of the arm. Point tenderness may be elicited over the greater tuberosity without the presence of weakness or loss of motion. This condition is generally believed to be reversible with appropriate treatment. In the second stage, as mechanical trauma continues, fibrosis and thickening of the tendon and subacromial bursa can occur. This generally affects patients between 25 and 40 years of age. The pain becomes constant and may worsen at night. Active motion may be limited by pain and any activity involving overhead movement can exacerbate the symptoms. Passive range of motion is generally preserved and on physical examination the pain is more diffuse and intense. The third stage resembles the second stage but may also involve a prolonged history of shoulder problems. At this point, the range of motion of the shoulder is usually decreased owing to either disuse or a partial rotator cuff tear. On pathologic examination, tendon degeneration may be present. Partial-thickness tears may occur or extend with stress or minor trauma. Complete tears of the rotator cuff, biceps tendon rupture, or osteophytic bone changes are sometimes seen.
Specific physical examination maneuvers can exacerbate the symptoms of shoulder impingement and suggest a diagnosis of rotator cuff tendinopathy. Because the supraspinatus tendon is most often involved, the empty can test (describing the position of the arm and hand as one empties an aluminum can, also referred to as the Jobe sign ) is helpful in assessing the supraspinatus tendon via resistance testing. With the arm abducted at 90° in the scapular plane (30° anterior to the coronal plane), the arm is internally rotated with the thumb pointed downward. The examiner places a downward force on the distal upper extremity and the patient is instructed to resist the examiner and to keep the arm parallel to the floor ( Fig. 103.3A ). Weakness or pain is considered a positive finding. When assessing for supraspinatus tendinopathy, the empty can test has a sensitivity of 62% with a specificity of 54%. If the patient is unable to resist the force of the examiner, a supraspinatus tear should be suspected.
Illustrations of the proper positioning for (A) empty can test and (B) drop arm test when assessing for rotator cuff tendinopathy or a rotator cuff tear.
Another sign of rotator cuff tendinopathy is elicited by the Neer test, which suggests mechanical impingement due to a decrease of the subacromial space. The examiner forward flexes the arm to 180°, which causes impingement of the greater tuberosity of the humerus against the anterior and inferior edge of the acromion. A positive result elicits pain produced at the end range of the arc. Studies assessing the utility of this test report significant variability, with sensitivities ranging from 75% to 86% and specificities from 48% to 49%.
The Hawkins-Kennedy test, also indicative of mechanical shoulder impingement, is performed by forcibly internally rotating the proximal humerus while the shoulder is forward flexed to 90° and the elbow flexed to 90°. Pain with this maneuver constitutes a positive finding. Again, there is fluctuation in the literature regarding this test’s sensitivity (75% to 82%) and specificity (44% to 48%).
A complete rotator cuff tear can be evaluated via the drop arm test, in which the arm is passively abducted at 90° and the patient is asked to slowly maintain control of the arm while adducting it (i.e., returning the arm to one’s side) ( Fig. 103.3B ). If the arm drops to the side, a significant rotator cuff tear should be considered. Previous studies suggest that this test is 74% sensitive, although more recent literature reported a 10% sensitivity for full-thickness supraspinatus tears. The specificity is much better, cited as 98%. The shrug sign is exhibited when a patient with acute macrotrauma to the rotator cuff is asked to abduct the arm at 90° and appears to be giving a shrug with that side. This movement stems from the rotator cuff’s inability to assist in abducting the arm. While such a finding may be secondary to other shoulder pathology (e.g., glenohumeral osteoarthritis or adhesive capsulitis), a positive result may suggest rotator cuff pathology.
Bicipital Tendinopathy
The tendon of the long head of the biceps, given its passage between the supraspinatus and subscapularis tendons in the anterior shoulder, can be associated with impingement syndrome. Patients with bicipital tendinopathy may describe pain in the anterior shoulder radiating to the elbow. Discomfort may occur when the individual rolls onto the shoulder at night, attempts to reach into a pocket, or turns a door handle. Focal tenderness may be provoked via direct palpation of the groove between the greater and lesser tuberosities of the anterior humerus. While the sensitivity (57% to 85%) and specificity (49% to 72%) of this finding suggest that the test has utility, the accuracy of a clinician in directly palpating the long head of the biceps tendon has been questioned. This accuracy can be further enhanced with the use of ultrasound. The Yergason sign can also assist in the diagnosis of bicipital tendinopathy. This test is performed by having the patient flex the elbow to 90° with the arm against the body and the provider resisting the individual’s forearm supination ( Fig. 103.4 ). Pain in the area of the proximal tendon is considered a positive finding and indicative of biceps tendinopathy. Although the sensitivity is low (37%), the specificity (83%) and positive likelihood ratio (2.20) of this test are stronger.
A depiction of the Yergason test in the evaluation of biceps tendinopathy, which entails resisting a patient’s supination.
Another physical examination tool in the diagnosis of bicipital tendinopathy is Speed’s test . With the elbow extended, the forearm supinated (i.e., palm facing upward), and the shoulder adducted at 60°, the patient is instructed to resist forward flexion of the shoulder. Pain in the area of the bicipital groove is indicative of a positive finding. Although Speed’s test may be suggestive of glenohumeral labral pathology as well, meta-analyses suggest that it is more sensitive (61% to 83%) for bicipital tendinopathy with similar specificity (33% to 71%). ,
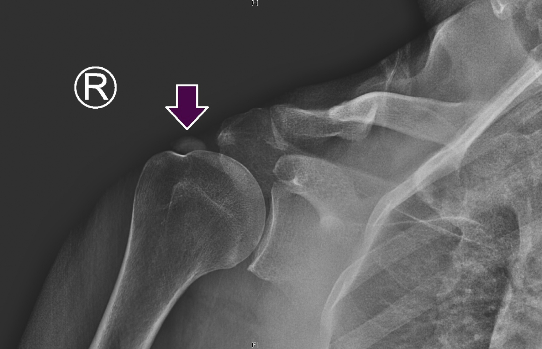
Calcific Tendinopathy
Calcific tendinopathy is an acutely or chronically painful condition associated with the deposition of calcium crystals in or around tendons. Although it can impact any tendon, the condition appears to be more prevalent in the rotator cuff. The underlying cause is still debated though has been attributed to tissue hypoxia and degeneration due to overuse. More common in females, studies have shown an association with diabetes mellitus, thyroid disorders, and nephrolithiasis along with a potential genetic predisposition. While it can affect any of the rotator cuff tendons, it seems to have a predilection for the supraspinatus, up to 80% of the time. The symptoms are similar to those of an impingement syndrome and the condition generally affects individuals between the ages of 30 and 60 years. Calcium deposition occurs over time and then undergoes spontaneous resorption. This resorptive phase is thought to contribute to the observed pain, though the severity of the symptoms is not correlated with the size of the deposit. Pain is believed to be in response to the local chemical pathologic disorder or direct mechanical irritation. On physical examination, there may be specific tenderness over the greater tuberosity as well as symptoms consistent with impingement. Plain film radiographs may show calcification in or around the rotator cuff tendons ( Fig. 103.5 ). The presence of calcium in the tendon does not necessarily confirm the origin of the pain because asymptomatic patients may demonstrate evidence of calcification on a routine radiograph. Ultrasound has proven useful in both the diagnosis and treatment (i.e., percutaneous needle lavage) of calcific tendinopathy.
Plain films of the right shoulder revealing a prominent calcium deposit in the supraspinatus tendon resulting in acute pain and decreased range of motion secondary to calcific tendinopathy.
Elbow
Increasingly, athletes of all ages and skill levels are participating in sports involving overhead arm motions. Consequently, the incidence of elbow injuries is rising. Such maladies also result from everyday life, including household chores and workplace exposures. From an anatomic and functional perspective, the extensors and supinators of the wrist attach to the lateral elbow, and the flexors and pronators attach medially.
Lateral Epicondylitis
Lateral epicondylitis (“tennis elbow”) is a painful elbow condition that occurs at the insertion of the common extensor tendon (extensor carpi radialis brevis) onto the lateral epicondyle of the humerus. Although it occurs in many tennis players, epidemiologic studies suggest that less than 5% of patients with such a syndrome actually play tennis. Activities such as turning screws, using a wrench, and repetitive work on an assembly line have also been implicated. In fact, the prevalence of lateral epicondylitis in the workforce approaches 14.5%. Symptoms often begin as a dull ache along the lateral aspect of the elbow. The discomfort can be exacerbated by activities that involve extension or supination of the wrist, such as grasping and twisting. Cozen’s test is performed by grasping the patient’s forearm with the one hand while resisting the patient’s wrist extension (on the affected side) with the other hand. A positive finding includes the reproduction of pain at the lateral epicondyle and is associated with a sensitivity of 74%. Studies have demonstrated poor specificity for this test.
Active extension of the middle finger (third digit) against resistance with the elbow in extension, or Maudsley’s test, can also reproduce the pain over the lateral epicondyle at the insertion of the extensor carpi radialis brevis. Additionally, patients will typically note tenderness to palpation just distal to the lateral epicondyle, over the origin of the extensor carpi radialis brevis. With a sensitivity of 54%, its clinical utility in isolation is limited and it also offers poor specificity for this malady. Illustrations of Cozen’s and Maudsley’s tests can be found in Figure 103.6 .
When evaluating for lateral epicondylitis, (A) Cozen’s test and (B) Maudsley’s test may aid in confirming the diagnosis.
Radiographs can be beneficial in cases of atypical or prolonged symptoms to rule out other pathologic conditions. Approximately 20% of patients demonstrate tendon calcification or a reactive exostosis at the tip of the epicondyle. The differential diagnosis of lateral epicondylitis includes fractures, posterior interosseus nerve entrapment (motor aspect of the radial nerve in the forearm), plica lesions, synovitis, chondromalacia, or adolescent osteochondral defects.
Medial Epicondylitis
Less common than its lateral counterpart, medial epicondylitis (“pitcher’s elbow” or “golfer’s elbow”) can result from microtrauma at the site of the insertion of the flexor carpi radialis on the medial epicondyle. It is important to differentiate medial epicondylitis from other causes of medial elbow pain, including a medial ulnar collateral ligament injury. As a result of repetitive valgus stress placed on the joint, microtrauma and valgus instability at the ligament can also occur leading to disruption of the medial ulnar collateral ligament. Subsequently, abnormal stress is placed on the articular surfaces, which may lead to degenerative changes and osteophyte formation. Another diagnostic possibility worth considering is stress reactions/fractures. In the case of medial epicondylitis, patients will generally report tenderness over the flexor pronator origin slightly distal and anterior to the medial epicondyle. The pain of medial epicondylitis can be reproduced with resisted wrist flexion or resisted forearm pronation and may result in decreased grip strength. One should also evaluate for concomitant injuries elsewhere in the ipsilateral arm, which may be present in up to 84% of work-related injuries.
Wrist
de Quervain’s Tenosynovitis
The wrist and hand include several tendons that pass through thick, fibrous retinacular tunnels. These help to prevent subluxation of the tendons and serve as a pulley system. Overuse syndromes are thought to result from changes of the synovial lining between these tendons and the retinaculum. de Quervain’s tenosynovitis involves the synovial lining of the abductor pollicis longus and extensor pollicis brevis tendons. Although the term tenosynovitis suggests inflammation of the tendon sheath, it has been noted that there are many potential forms of tenosynovitis. Classic acute inflammatory changes that are characteristic of tenosynovitis may be related to systemic manifestations of disease (e.g., rheumatoid arthritis or gout). Tenosynovitis related to de Quervain’s syndrome is referred to by some clinicians as stenosing tenosynovitis. The pathologic process of de Quervain’s tenosynovitis does not generally involve inflammation but instead likely thickening of the extensor retinaculum covering the first dorsal compartment of the wrist combined with fibrous tissue depositions and increased vascularity in this region. It has been suggested that de Quervain’s disease is a result of intrinsic degenerative mechanisms rather than extrinsic inflammatory ones.
The patient’s history may consist of chronic, repetitive trauma or otherwise uncommon repetitive efforts, such as firmly grasping an object and moving the hand radially. However, studies have not found a causal relationship between this condition and specific occupational risk factors. Direct trauma, such as a direct blow or fall, has occasionally been implicated. Yet, in most cases of de Quervain’s tenosynovitis the onset is gradual. The discomfort of de Quervain’s tenosynovitis is typically localized over the radial styloid process. Radiation of pain proximally to the forearm or distally down the thumb has been described. The pain is generally constant but may be exacerbated by movements that include grasping, abduction of the thumb, or ulnar deviation of the wrist.
On physical examination, swelling (sometimes subtle) may be appreciated over the radial styloid. Crepitus may be palpated over the abductor pollicis longus and extensor pollicis brevis tendons with flexion and extension of the thumb. An increase in the tensile load (passive stretching or active contraction) of these tendons increases pain. The Finkelstein’s test is the most pathognomonic physical sign of de Quervain’s tenosynovitis. While the provider holds the thumb in a neutral position, the patient deviates the wrist toward the ulna ( Fig. 103.7 ). Pain is elicited near the radial styloid, which is also the point of tenderness, reflecting a positive finding. This test is often confused with the Eichhoff’s test , which entails the patient placing the affected thumb in the palm, making a fist, and then deviating the wrist toward the ulna. Finkelstein’s test is preferred when assessing for de Quervain’s tenosynovitis given its specificity of 100% (compared with 89% for Eichhoff’s test).



