Key Concepts
-
•
Acute pancreatitis represents a wide spectrum of disease, ranging from mild to severe life-threatening disease with a mortality rate as high as 30%.
-
•
The most common causes of acute pancreatitis are gallstones and chronic alcohol consumption.
-
•
Acute pancreatitis is diagnosed by the presence two of three criteria—characteristic abdominal pain, serum lipase or amylase levels greater than three times the upper limit of normal, and characteristic findings on abdominal imaging.
-
•
Serum lipase level is preferred over the amylase level because of its greater sensitivity and specificity in diagnosing acute pancreatitis.
-
•
Computed tomography (CT) scan is not routinely recommended in the diagnosis of acute pancreatitis. It should be used in cases of diagnostic uncertainty and assessing for complications.
-
•
Abdominal ultrasound should be performed to evaluate for a biliary etiology of pancreatitis.
-
•
Treatment of acute pancreatitis is mainly supportive with fluid resuscitation and pain management. Lactated Ringers is preferred over normal saline because it is more physiologic and may provide antiinflammatory effects. There is no evidence to support one analgesic agent over another.
-
•
Prophylactic antibiotics are not indicated in the management of acute pancreatitis but should be used in cases of infected pancreatic necrosis or other clear evidence suggesting sepsis or infection.
-
•
Endoscopic retrograde cholangiopancreatography (ERCP) is only indicated in cases of cholangitis or biliary obstruction.
-
•
Most patients with pancreatitis require hospitalization for symptomatic control, monitoring of hydration and nutrition status, and management of complications.
-
•
There are several scoring systems to aid in predicting severity and outcomes in pancreatitis, including Ranson criteria, Acute Physiology and Chronic Health Evaluation II (APACHE II), CT severity index (CTSI), and Bedside Index of Severity in Acute Pancreatitis (BISAP). They are similar in their predictive accuracy, and each has different strengths and weaknesses.
-
•
Chronic pancreatitis is a progressive fibroinflammatory syndrome which impairs both exocrine and endocrine pancreatic function.
-
•
Pancreatic cancer is the seventh most common cause of death from cancer globally with a 5-year survival rate of only 7%.
-
•
Surgical treatment may improve survival in patients whose pancreatic cancer is diagnosed early without metastasis. Most patients have advanced disease at diagnosis.
Pancreatitis
Anatomy, Physiology, and Pathophysiology
The pancreas is a retroperitoneal organ with endocrine and exocrine functions ( Fig. 77.1 ). It contains three segments—head, body, and tail—that span across the upper abdomen. The pancreatic head sits within the concave C loop of the duodenum, located in the epigastrium. The body of the pancreas traverses posteriorly to the stomach, and the pancreatic tail abuts the hilum of the spleen in the left upper quadrant. A large main pancreatic duct (duct of Wirsung) courses within the pancreas from the tail to the head, where it meets the common bile duct to form the ampulla of Vater, which drains its contents into the duodenum via the sphincter of Oddi. The exocrine function of the pancreas is carried out by the excretion of various digestive enzymes, such as trypsinogen. The endocrine function of the pancreas includes secretion of the regulatory hormones insulin, glucagon, and somatostatin.
Diagrammatic Representation of the Pancreas, Anterior View.
Redrawn from Feldman M, Friedman LS, Sleisenger MH, eds. Sleisenger & Fordtran’s Gastrointestinal and Liver Disease: Pathophysiology, Diagnosis, Management. 7th ed. Philadelphia: Saunders; 2002.
Injury to the pancreas begins with an inciting event, such as duct obstruction by a gallstone or exposure to a pharmacologic agent or a toxin such as alcohol. Cellular injury disrupts normal membrane trafficking and triggers the inappropriate activation of trypsinogen resulting in increased trypsin production which results in further cell injury and activation of other digestive enzymes. Autodigestion and the activation of the inflammatory cascade with the recruitment of macrophages and neutrophils lead to further destruction of pancreatic tissue. Cytokine release causes increased vascular permeability, which can result in complications such as edema, hemorrhage, and necrosis. The release of inflammatory mediators through a heightened autoimmune response may lead to systemic inflammatory response syndrome (SIRS), sepsis, and shock. Bacteremia can occur due to translocation of intestinal flora. Extrapancreatic organ dysfunction such as the development of pleural effusions, acute respiratory distress syndrome (ARDS), and renal failure may also occur.
Acute Pancreatitis
Foundations
Acute pancreatitis is an inflammatory condition leading to enzymatic autodigestion and the destruction of pancreatic tissue. Its presentation ranges widely from mild, self-limited disease to sepsis and multiorgan failure. Recurrent episodes of acute pancreatitis can result in the progressive fibrosis of chronic pancreatitis. Acute pancreatitis is the most common pancreatic disease worldwide and one of the top reasons for hospitalization due to gastrointestinal disease in the United States. , Mortality can run as high as 30% in severe cases; however, although hospital admissions continue to increase, the overall mortality of acute pancreatitis has decreased.
There are numerous causes of acute pancreatitis ( Box 77.1 ), with gallstones (40% to 70%) and chronic alcohol consumption (25% to 35%) accounting for the majority of cases. Other common causes include hypertriglyceridemia (serum triglyceride levels > 1000 mg/dL), complications from endoscopic retrograde cholangiopancreatography (ERCP), medications, trauma, and idiopathic. It is thought that many idiopathic cases may be due to occult to microlithiasis. Smoking and diabetes are independent risk factors for the development of pancreatitis.
BOX 77.1
Causes of Acute Pancreatitis
CMV, Cytomegalovirus; DKA, diabetic ketoacidosis; EBV, Epstein-Barr virus; ERCP, endoscopic retrograde pancreatography; HIV, human immunodeficiency virus; TB, tuberculosis.
Toxic—Metabolic
-
Alcohol
-
Drugs
-
Hyperlipidemia
-
Hypercalcemia
-
Uremia
-
Scorpion venom
Mechanical—Obstructive
-
Biliary stones
-
Congenital—pancreas divisum, annular pancreas
-
Tumors—ampullary, neuroendocrine, pancreatic carcinoma
-
Post-ERCP
-
Ampullary dysfunction or stenosis
-
Duodenal diverticulum
-
Trauma
Infectious
-
Viral—mumps, coxsackie, HIV, CMV, EBV, varicella
-
Bacterial—TB, Salmonella, Campylobacter, Legionella, Mycoplasma
-
Parasitic— Ascaris
Vascular
-
Vasculitis
-
Embolism
-
Hypoperfusion, ischemia
-
Hypercoagulability
Other
-
Idiopathic
-
Hereditary
-
Diabetes mellitus, DKA
-
Autoimmune
Acute pancreatitis can be classified by type—interstitial edematous versus necrotizing pancreatitis—and by local complications. Most patients have the interstitial edematous type, which usually resolves within the first week of illness. Approximately 5% to 10% of patients develop necrotizing pancreatitis, which can involve the pancreatic parenchyma and surrounding tissue. Necrotic tissue may remain sterile, liquefy, or become infected. Infected lesions are associated with increased morbidity. Local complications usually occur after the first week and should be suspected in patients with prolonged or recurrent symptoms, secondary elevation of pancreatic serum markers, or signs of sepsis, such as fever and leukocytosis. The local complications of acute pancreatitis are summarized in Box 77.2 .
BOX 77.2
Local Complications of Acute Pancreatitis
Adapted from Banks PA, Bollen TL, Dervenis C, et al. Classification of acute pancreatitis—2012: revision of the Atlanta classification and definitions by international consensus. Gut. 2013;62:102–111.
Interstitial Edematous Pancreatitis
-
•
Acute peripancreatic fluid collection—homogeneous fluid collection adjacent to pancreas; seen within 4 weeks of symptom onset
-
•
Pancreatic pseudocyst—homogeneous fluid collection with well-defined wall; seen >4 weeks from symptom onset
Necrotizing Pancreatitis
-
•
Acute necrotic collection—heterogeneous collection of fluid and necrosis; intrapancreatic and/or extrapancreatic
-
•
Walled-off necrosis—heterogeneous collection of fluid and necrosis with well-defined wall; intrapancreatic and/or extrapancreatic; seen >4 weeks from symptom onset
Clinical Features
Patients with acute pancreatitis typically present with persistent epigastric or left upper quadrant pain that may radiate to the back, chest, or flanks. The pain is usually moderate to severe in intensity; however, the intensity of pain does not correlate with clinical severity. Associated symptoms include nausea, vomiting, and anorexia as oral intake may exacerbate pain. The pain may be alleviated by sitting up or bending forward.
Vital signs may be normal in cases of mild or early disease. Abnormalities commonly reflect patient discomfort or an existing inflammatory process, with rises in temperature, heart rate, or respiratory rate. Blood pressure may be slightly elevated secondary to pain, although in severe or complicated cases, hypotension and signs of shock may be present. Jaundice suggests an obstructive process such as a gallstone or tumor. Respirations may be shallow due to splinting from pain, and pulmonary auscultation may reveal decreased breath sounds or basilar crackles in the setting of pulmonary complications.
The abdomen can appear normal or distended. The classic clinical findings of Cullen sign (bluish periumbilical discoloration due to hemoperitoneum) and Grey Turner sign (reddish-brown discoloration around the flanks due to retroperitoneal bleeding) are rare and neither sensitive nor specific for acute pancreatitis but, when present, may confer a poor prognosis. Auscultation of the abdomen may reveal normal, diminished, or absent bowel sounds if the patient has concomitant ileus. Palpation of the abdomen often reveals epigastric tenderness with or without guarding and with rebound tenderness being a less common finding. Right upper quadrant tenderness and the presence of Murphy sign may be seen in cases of gallstone pancreatitis.
In addition to direct injury to the pancreas, patients may have local complications involving surrounding structures (e.g., bowel necrosis, splenic or portal vein thrombosis, gastrointestinal bleeding, or gastric outlet obstruction). Most of these tend to be late findings.
Systemic complications are related to the progression of local inflammation and may result in SIRS. Although in most cases these conditions resolve within days, if persistent there may be progression to fulminant sepsis, shock, and organ failure, especially if there is underlying chronic disease. The pulmonary, cardiovascular, and renal systems are the most important when assessing for organ failure. Increased microvascular permeability is the primary cause of pulmonary sequelae, although enzymatic degradation of surfactant may also play a role. Patients may develop ARDS, atelectasis, or pleural effusion, manifested as hypoxemia or respiratory distress. Pleural effusions are present in up to 50% of patients and tend to develop more frequently on the left side. Cardiovascular collapse, as evidenced by decreased mean arterial pressure or the need for inotropic support, may develop as shock results from fluid shifts and volume loss. Renal failure, demonstrated by an elevated creatinine level, may arise from a combination of hypoperfusion and the effects of inflammatory mediators.
In addition, coagulopathy occurs from cytokine-mediated activation of the coagulation cascade, potentially leading to thrombocytopenia or disseminated intravascular coagulation. Metabolic abnormalities are also common. Hyperglycemia results from decreased insulin production and hypocalcemia from low albumin and magnesium levels.
Differential Diagnoses
A number of disease processes have the ability to mimic the presentation of acute pancreatitis and should be considered in the differential diagnosis ( Box 77.3 ). Inflammation of nearby intra-abdominal organs, such as the gallbladder, stomach, and duodenum, is often characterized by a similar pattern of epigastric or upper quadrant abdominal pain. Myocardial infarction, pneumonia, and aortic pathology may also present as lower thoracic or upper abdominal pain, with radiation to the back.
BOX 77.3
Differential Diagnosis for Acute Pancreatitis
Abdominal Disorders
-
Peptic ulcer disease
-
Gastritis
-
Gastroenteritis
-
Cholelithiasis
-
Cholecystitis
-
Choledocholithiasis
-
Cholangitis
-
Nephrolithiasis
-
Bowel obstruction
-
Perforated viscus
-
Mesenteric ischemia
-
Abdominal aortic aneurysm
-
Ectopic pregnancy
Cardiopulmonary Disorders
-
Myocardial infarction
-
Pneumonia
-
Pericarditis
-
Pleural effusion
Systemic Disorders
-
Sickle cell crisis
-
Diabetic ketoacidosis
Diagnostic Testing
Acute pancreatitis is generally diagnosed by the presence of at least two of the following three criteria: (1) abdominal pain characteristic of acute pancreatitis, (2) serum lipase or amylase levels greater than three times the upper limit of normal, and (3) characteristic findings seen on abdominal imaging.
Laboratory Tests
Laboratory diagnosis of pancreatitis is made primarily by serum lipase and amylase levels. Lipase is an enzyme produced predominantly by the pancreas to aid in the breakdown of dietary triglycerides into free fatty acids. Amylase is an enzyme produced by the pancreas and salivary glands, as well as multiple other organs to a smaller extent, to aid in the digestion of carbohydrates. Elevated lipase levels are both more specific and more sensitive than amylase levels in the diagnosis of acute pancreatitis. Although both enzymes begin to rise in the first few hours following symptom onset, amylase remains elevated for approximately 3 to 5 days compared with lipase which peaks more quickly and remains elevated for approximately 1 to 2 weeks.
Serum amylase levels may be high in a number of conditions, including macroamylasemia (a condition where amylase forms large molecular complexes with immunoglobulins resulting in decreased renal excretion), renal failure, salivary gland disease, liver disease, appendicitis, cholecystitis, intestinal obstruction, intestinal ischemia, peptic ulcer disease, and gynecologic diseases. Elevated serum lipase levels may also be seen in extrapancreatic conditions such as renal failure, appendicitis, and cholecystitis; however, it is generally recognized that elevated lipase levels have greater sensitivity and specificity for pancreatitis when compared with amylase levels. Amylase levels may be falsely negative in cases of alcohol and hypertriglyceridemia-induced acute pancreatitis, particularly early in the disease course. We recommend use of the lipase level in the diagnosis of acute pancreatitis. Testing for both enzymes does not improve diagnostic sensitivity or specificity. For both enzymes, three times the upper limit of normal is the most commonly used cutoff value because studies have demonstrated high sensitivity at this level. The degree of lipase or amylase level elevation does not correlate with disease severity or prognosis.
Alanine transaminase (ALT), aspartate transaminase (AST), and bilirubin levels should be drawn to evaluate for gallstones or another obstructive process as a cause of pancreatitis. ALT has been shown to be particularly specific for biliary pancreatitis, with a positive predictive value of 95%. Calcium and serum triglyceride levels, particularly in the setting of an absence of gallstones or significant history of alcohol use, may also be useful in determining an etiology (triglyceride levels >1000 mg/dL). A complete blood count (CBC) and basic metabolic panel (BMP) should be drawn to evaluate for SIRS and signs of organ failure.
Radiologic Tests
Abdominal imaging by computed tomography (CT) or magnetic resonance imaging (MRI) is not routinely recommended in the diagnosis of acute pancreatitis. CT is recommended only in the following three circumstances: (1) in cases of diagnostic uncertainty (e.g., atypical abdominal pain) or normal pancreatic enzyme levels in the setting of high clinical suspicion; (2) to rule out other suspected intra-abdominal pathology (e.g., bowel obstruction or aortic aneurysm); and (3) to assess for complications in patients who fail to respond to appropriate therapy after at least 48 to 72 hours. , The evaluation of complications of pancreatitis by CT is of most utility when done at least 3 to 7 days after presentation because CT findings of pancreatic necrosis are often not identified early on and abscesses and pseudocysts do not generally develop until several weeks after symptom onset. Studies show that patients undergoing early CT have increased costs and exposure to radiation with no additional diagnostic benefit or change in medical management.
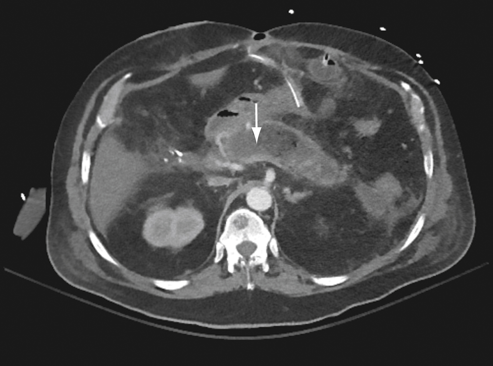
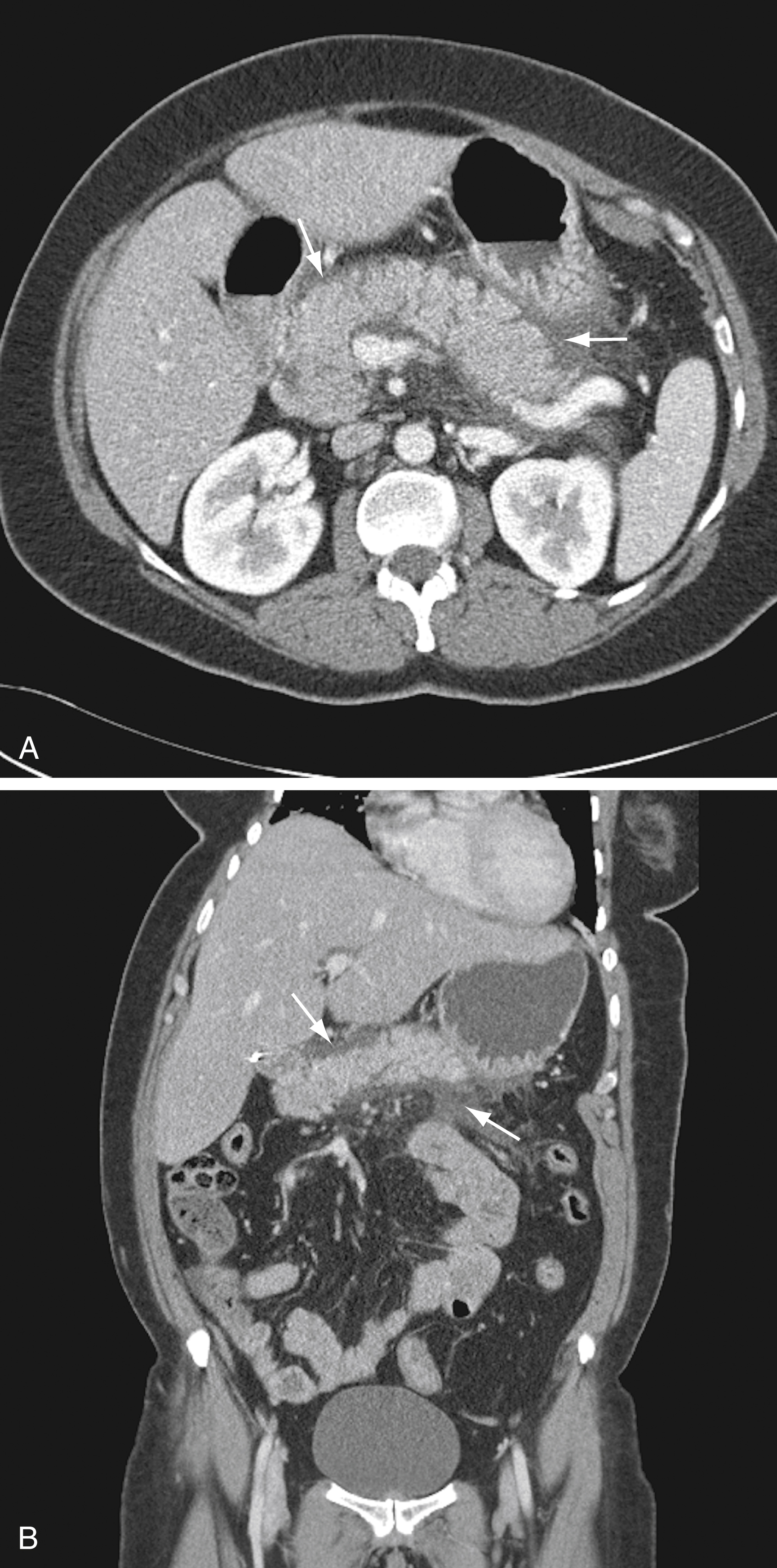
If CT is performed, it should be done with intravenous (IV) contrast. The CT scan is normal in 15% to 30% of patients with mild cases of pancreatitis. Contrast-enhanced CT has a greater than 90% sensitivity and specificity in the diagnosis of acute pancreatitis. Abnormal findings include pancreatic parenchymal enlargement with lack of enhancement, loss of its typical texture and borders, and surrounding retroperitoneal fat stranding ( Fig. 77.2 ). Pancreatic necrosis is suggested by areas demonstrating no enhancement ( Fig. 77.3 ). In cases for which contrast is contraindicated, CT without contrast may still be useful; alternatively, MRI can be performed.
Computed Tomography Scan Showing Acute Interstitial Pancreatitis With Mild Peripancreatic Fluid and Fat Stranding (Arrows) .
(A) Axial view. (B) Coronal view.
Courtesy Dr. David T. Schwartz.
Computed tomography Scan Showing Necrotizing Pancreatitis.
There is decreased enhancement of the pancreas where the parenchyma has been replaced by necrotic fluid (arrow) .
Courtesy Dr. Cash Horn.
The diagnostic utility and radiologic findings of pancreatitis with MRI are similar to those of CT. MRI provides superior imaging of the gallbladder and biliary tract but is more costly and often has limited availability and accessibility. Direct pancreatic ultrasonography may show an edematous swollen pancreas, but the study image is often obscured by bowel gas, and of limited diagnostic and prognostic value. Abdominal ultrasound (US) has limited value in the direct diagnosis of pancreatitis but is noninvasive and sensitive for imaging the gallbladder and biliary tract and should therefore be obtained to evaluate for a biliary or obstructive etiology. Abdominal ultrasound may also help to determine the need for further advanced imaging of the biliary tract with magnetic resonance cholangiopancreatography (MRCP) or endoscopic ultrasound (EUS) as well as potential surgical or procedural management such as cholecystectomy or ERCP. Abdominal radiographs show primarily nonspecific findings and do not contribute to the diagnosis of pancreatitis. Chest radiography should be performed in the setting of an abnormal pulmonary exam or when pulmonary complications are suspected.
Predicting Disease Severity
Predicting the disease course in acute pancreatitis is challenging but important given the range in severity from mild cases to the critically ill. A number of classification schemes and severity scoring systems have been developed and these vary in their utility for use in emergency department (ED) management. The 2012 revision of the Atlanta Classification provides a framework to classify acute pancreatitis based on clinical and radiologic criteria ( Box 77.4 ). This classification delineates three degrees of severity: mild acute pancreatitis, moderately severe acute pancreatitis, and severe acute pancreatitis. Under this system, patients cannot be diagnosed with severe pancreatitis until 48 hours following presentation which limits its use in the ED. The oldest and most well-known scoring system to assess the severity of pancreatitis is the Ranson criteria, which uses a combination of clinical features, vital signs, and serum markers at both presentation and 48 hours after admission to predict mortality. Another well-known score is the Acute Physiology and Chronic Health Evaluation II (APACHE II) system, which consists of 15 variables designed for use in the intensive care unit (ICU) to predict mortality. The modified CT severity index (CTSI) is a classification system based on CT imaging. The CTSI allots points for pancreatic enlargement, inflammation, necrosis, fluid collections, and extrapancreatic complications. A Ranson score ≥3, APACHE II score ≥8, and an MCTSI ≥4 are considered high risk for severe disease.
BOX 77.4
Revised 2012 Atlanta Classification of Acute Pancreatitis
Data from Banks PA, Bollen TL, Dervenis C, et al: Classification of acute pancreatitis—2012: revision of the Atlanta classification and definitions by international consensus. Gut. 2013;62:102–111.
Mild
-
No organ failure
-
No local or systemic complications
Moderately Severe
-
Transient organ failure (<48 h)
-
Local or systemic complications
Severe
-
Persistent organ failure (>48 h)
Local complications—acute peripancreatic fluid collection, pancreatic pseudocyst, acute necrotic collection, walled-off necrosis
Systemic complications—exacerbation of a preexisting comorbidity
Organ failure—defined as a modified Marshall score of 2 or more for the respiratory, cardiovascular, or renal system.
The practicality and usefulness of these tools in ED management are limited by their complexity and reliance on post-admission data. The Bedside Index of Severity in Acute Pancreatitis (BISAP) is a more recently developed scoring system that may improve on this given its simplicity and ability to be calculated during a patient’s ED evaluation. The BISAP score evaluates five factors: b lood urea nitrogen (BUN) level, i mpaired mental status, S IRS, a ge, and p leural effusions. These scoring systems (summarized in Table 77.1 ) show similar predictive accuracy for evaluating the severity of acute pancreatitis. The Harmless Acute Pancreatitis Score (HAPS) aims to identify mild cases of acute pancreatitis using just three factors: presence or absence of peritonitis (rebound tenderness or guarding), creatinine, and hematocrit. HAPS has been shown to be 97% specific for mild disease, although it is not sensitive.
TABLE 77.1
Summary of Severity Scoring Systems
| Ranson Criteria | APACHE II Variables | Modified CTSI | BISAP |
|---|---|---|---|
|
At admission
Age > 55 years WBC > 16,000/mm 3 Glucose > 200 mg/dL AST > 250 IU/L LDH > 350 IU/L At admission (if biliary cause) Age > 70 years WBC > 18,000/mm 3 Glucose > 220 mg/dL AST > 250 IU/L LDH > 400 IU/L At 48 h Hematocrit drop > 10% BUN rise > 5 mg/dL Calcium < 8 mg/dL PaO 2 < 60 mm Hg Base deficit > 4 mEq/L Fluid needs > 6 L At 48 h (if biliary cause) Hematocrit drop > 10% BUN rise > 2 mg/dL Calcium < 8 mg/dL Base deficit > 5 mEq/L Fluid needs > 4 L |
Age
Temperature Mean Arterial Pressure Heart Rate Respiratory Rate PaO 2 pH or HCO 3 Serum sodium Serum potassium Serum creatinine Hematocrit WBC count Glasgow Coma Scale Chronic health problems:
|
Pancreatic inflammation
0: normal pancreas 2: intrinsic pancreatic abnormalities ± inflammatory changes in peripancreatic fat 4: pancreatic or peripancreatic fluid collection or peripancreatic fat necrosis Pancreatic necrosis 0: none 2: 30% or less 4: more than 30% Extrapancreatic complications 2: one or more of pleural effusion, ascites, vascular complications, parenchymal complications and/or gastrointestinal involvement |
BUN > 25 mg/dL
Impaired mental status • disorientation, lethargy, somnolence, coma ≥ SIRS criteria Age > 60 years Pleural effusion present |
Full access? Get Clinical Tree





